细胞株购买:15859239971 厦门爱恪信生物细胞株引进ATCC,DSMZ,JCRB,ECACC,CCTCC,昆明细胞库等保藏中心,正规来源,细胞准确

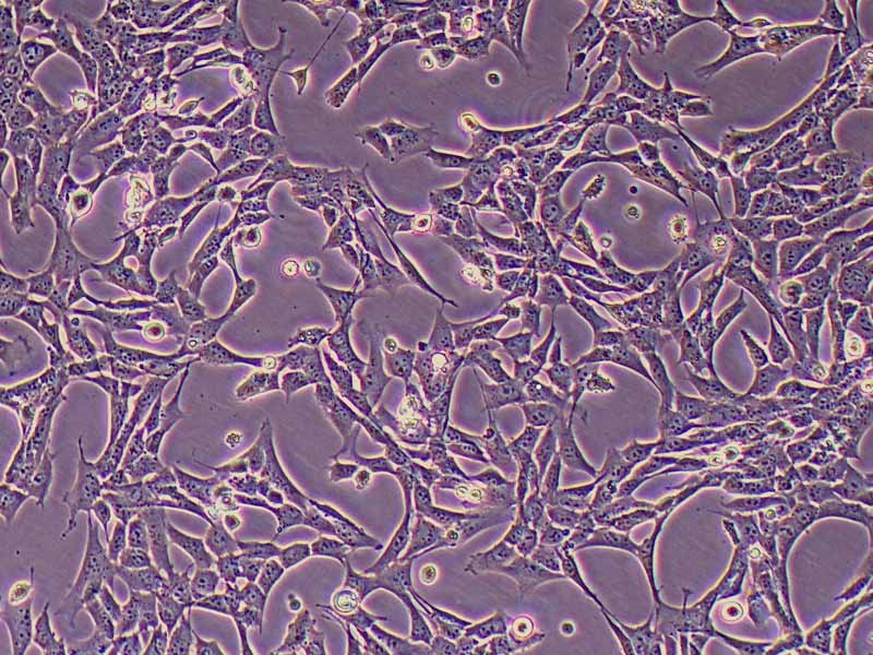
小鼠主动脉血管平滑肌细胞永生化(免疫荧光鉴定报告)

货号:IM-M108    组织:血管

规格:1×106cells/T25或1mL冻存管 

形态:成纤维细胞样 ,贴壁生长  培养基:90%DMEM+优质胎牛血清10%+PS

培养环境:气相:95%空气+5%二氧化碳;温度:37℃

传代比例:1:2,每周2次

产品货期:现货,1周左右发货(复苏包邮),冻存当天或隔天发货(收干冰加运输费200元)

小鼠主动脉血管平滑肌细胞永生化细胞说明书

价格:¥2500

配套相关培养产品

  一、细胞基本属性
细胞名称小鼠主动脉血管平滑肌细胞(永生化)(免疫荧光鉴定报告)
种属来源小鼠
组织来源血管平滑肌
生长特性贴壁生长
细胞形态成纤维细胞样
免疫荧光鉴定微信截图_20240326092501.jpg
细胞规格1×106cells/T25培养瓶或者1mL冻存管包装
支原体检测
培养基90%DMEM+优质胎牛血清10%+PS
培养条件气相:空气,95%;二氧化碳,5% 温度:37摄氏度,培养箱湿度为70%-80%
冻存条件无血清冻存液,液氮储存
传代比例1:2-1:3(具体情况视细胞生长速度及密度决定)
消化时间2-3min(不同品牌胰酶消化时间不同,以实际为主)
换液周期2天
培养基体积T25瓶 8-10ml;6cm皿 5-8ml;10cm皿 12-15ml;T75瓶 24ml-30ml
特别说明以下细胞培养冻存处理仅供参考,具体操作步骤以随货产品说明书为主
  二、细胞培养操作
到货方式复苏细胞/T25瓶运输
收货处理1.收到小鼠主动脉血管平滑肌细胞永生化细胞后,请检查发货培养瓶的状况,是否有破损、漏液、浑浊等现象。如果有,请立即和我们联系;如果没有,请您用75%酒精消毒细胞瓶外壁,再将其置于37度培养箱静置4h。
2.静置后观察细胞状态,在显微镜下确认细胞生长状态时,最好在低倍镜(4或5X物镜)下进行,能准确判断细胞的传代密度。看细胞的形态请在10X和20X物镜下,同时给刚收到的细胞拍照,(10×,20×)各2-3张以及培养瓶外观照片一张留存,作为细胞需要售后时提供收到细胞时细胞状态的依据。拍照反馈给我们。
传代密度细胞密度达80%-90%,即可进行传代培养
传代方法1.弃去培养上清,用不含钙、镁离子的PBS润洗细胞1-2次。
2.加1 mL消化液(0.25%Trypsin-0.53mM EDTA)于培养瓶中,使消化液浸润所有细胞,弃去消化液,将培养瓶置于37℃培养箱中消化1 min,然后在显微镜下观察细胞消化情况,若细胞大部分变圆并脱落,迅速拿回操作台,轻敲几下培养瓶后加少量培养基终止消化。
3.按6-8 mL/瓶补加培养基,轻轻打匀后装入无菌离心管中,1000 rpm离心4 min,弃去上清液,补加1-2 mL培养液后吹匀。
4.将细胞悬液按1:2比例分到新的含8 mL培养基的新皿中或者瓶中,置于培养箱中培养。
到货方式冻存细胞/1ml冻存管运输
收货处理1.干冰运输的小鼠主动脉血管平滑肌细胞永生化细胞到货,请检查干冰是否完全挥发,细胞是否解冻,若有上述现象发生请及时和我们联系。
2.为保证细胞的高存活率,收到产品后,请立即解冻复苏细胞,如若不能复苏请立即转入液氮冻存。
培养皿/瓶一管细胞建议接种到6cm培养皿或者T25瓶
复苏操作1.将含有1 mL细胞悬液的冻存管在 37℃水浴中迅速摇晃解冻,加4 mL培养基混合均匀。
2.在1000 rpm条件下离心3 min,弃去上清液,加1-2 mL培养基后吹匀。
3.然后将所有细胞悬液加入含适量培养基的培养瓶中培养过夜(或将细胞悬液加入6 cm皿中,加入约4 mL培养基,培养过夜)。
4.第二天换液并检查细胞密度。
注意事项1.运输用的培养基(灌液培养基)不能再用来培养细胞,请换用按照说明书细胞培养条件新配制的完全培养基来培养细胞。
2.因运输问题,部分细胞由于温度变化及剧烈碰撞死亡破碎形成碎片,是正常现象。请及时和我们联系,告知细胞的具体情况,以便我们的技术人员跟踪回访直至问题解决。
3. 冻存细胞发货2管,客户先复苏一支,若复苏失败及时联系我方并在我方指导下复苏第二支。
4. 申请售后时请提供细胞收货时及反馈售后当天细胞清晰照片及培养信息,建议客户在细胞传代培养后,定期拍照、记录细胞生长状态。
5.所有动物细胞均视为有潜在的生物危害性,必须在二级生物安全台内操作,并请注意防护,所有废液及接触过此细胞的器皿需要灭菌后方能丢弃。
6. 细胞在不同实验室培养由于所使用培养基及血清品牌、个人操作习惯、培养瓶品牌等诸多培养条件不尽相同,导致细胞培养形态、生长速度、贴壁情况均可能有所差异,对于此类细胞适应环境生长的行为,不予过度解释或免费售后。
  三、细胞冻存操作
冻存液配方无血清冻存液,液氮储存
冻存密度如果是有要求每管要冻多少细胞,那就用1ml完培重悬后,取部分按平时方法计数,剩下的细胞按计数需要的细胞量冻存即可。
如果没要求,那就按平时,一个皿冻一管。
冻存方法小鼠主动脉血管平滑肌细胞永生化细胞生长状态良好时,可进行细胞冻存。下面 T25 瓶为例
1.收集细胞及细胞培养液,装入无菌离心管中,1000 rpm条件下离心4 min,弃去上清液,用PBS清洗一遍,弃尽PBS,加1 mL血清重悬细胞,进行细胞计数。
2.根据细胞数量加入无血清细胞冻存液,使细胞密度5x106~1x107/mL,轻轻混匀,每支冻存管冻存1mL细胞悬液,注意冻存管做好标识。
3.将冻存管放入-80℃冰箱,24 h后转入液氮灌储存。记录冻存管位置以便下次拿取。
注意事项冻存细胞转入液氮后及时复苏一管检查细胞冻存活性,若有异常,及时调整实验方案

细胞培养常见问题

细胞培养时培养基是否需要预热

细胞培养时培养基需要预热‌。预热培养基可以减少环境的改变对细胞状态的影响,避免细胞因温度变化而产生应激反应,从而保持细胞的健康状态和生长环境的一致性‌。可以提前半小时左右,将培养基、PBS和胰酶在37°C下预热,把所需耗材和其他物品放置于超净工作台中紫外照射灭菌。

血清使用前需不需要灭活

一般培养细胞所使用的血清不需要灭活,灭活会导致血清部分营养损失、沉淀增多,灭活的优势(主要是灭活补体以免影响细胞生长)在实际培养过程中对于促进细胞生长并没有太大意义。部分细胞对于生长条件敏感,可以尝试灭活血清培养,但大部分细胞并不需要。

血清融化后有沉淀会影响细胞培养吗

血清沉淀主要是纤维蛋白等蛋白、磷酸盐、脂类等经冻融后析出,导致血清内出现沉淀现象,该现象与血清品质无关,大部分品牌的血清都会有这种情况,不会影响细胞培养,只是培养时可能偶尔观察到血清沉淀,注意区分血清沉淀和细胞污染即可。

细胞为何生长不均匀

细胞传代后放入培养箱没有摇匀,或者放入时摇匀,但在细胞贴壁前,又移动了培养瓶,频繁开关培养箱引起的振动或者培养瓶中培养液过少,培养箱搁板表面不平整,这些因素会导致细胞生长不均匀。

细胞抱团怎么处理

一些悬浮细胞抱团生长是正常现象,大部分悬浮细胞在细胞密度很高的情况下,很可能会出现部分细胞抱团生长的现象,聚团细胞很容易死亡并演化成絮状物,殃及周围的悬浮细胞,因此在培养悬浮细胞时需控制好细胞密度。如果出现了细胞团,可以通过细胞筛去掉部分较大的细胞团,也可以尝试一下方法:将细胞悬液收集到15 ml离心管中,静置20 min左右,小心取上层细胞上清培养(该方法只能去除部分较大的细胞团)。

细胞内有空泡,是否是正常现象

部分细胞本身存在一定的空泡(如HepG2,Ishikawa及一些耐药株等),这个是正常现象。如果只有少数细胞有内出现极少空泡,则很可能是细胞状态不佳,可以通过调整血清浓度,控制消化,控制传代比例及时间等方法来调整细胞状态;如果大部分细胞出现空泡,且单个细胞内空泡数目偏多,则可能细胞代次较高,细胞老化所致,需更换代次较早的细胞。

细胞传两代后开始逐渐死亡的原因

很可能是培养体系不适合细胞(未使用推荐的培养体系);或者消化过度,对细胞有严重影响;或者是传代比例不合适(具有密度依赖性的细胞,传代太稀;或者生长较快的细胞,传代较密,细胞严重堆叠生长)。

如何区分活细胞和死细胞

显微镜下观察:活细胞中间透亮,饱满,有光泽,死细胞较暗。也可以通过台盼蓝染色来计算细胞活力。

何用台盼兰计数活细胞

用无血清培养基把细胞悬液稀释到200~2000 个/毫升,在0.1 毫升的细胞悬液中加入0.1 毫升的0.4%的台盼兰溶液。轻轻混匀,用血球计数板计数细胞。活细胞排斥台盼兰,因而染成蓝色的细胞是死细胞,注意计数需在加入台盼蓝10min内完成。有细胞计数仪的,可直接用计数仪进行

何时须更换培养基

视细胞生长密度而定,常规细胞2天更换培养基。

细胞何时进行传代较好

一般情况下细胞生长至完全汇合后就应该传代,所有细胞生长都有一个要求不宜生长过密(也就是常说的长老了),但有接触抑制的细胞,在汇合前就必须进行传代,这类细胞一般在密度70-80%就进行传代,否则会引起细胞分化。

贴壁细胞总有部分圆形还会有一些漂浮的是正常吗

大部分贴壁细胞培养时都会有一些圆形透亮的细胞存在,也会有一些圆形细胞脱落悬浮的情况存在,这种主要是一些新增殖的细胞或由于局部空间不足被挤出的细胞,只要细胞持续增殖,都会有一些圆形细胞或脱落漂浮细胞,不影响细胞整体增殖和实验,保持正常换液、传代周期即可。细胞具体情况也可以参考细胞库不同细胞照片比对,大部分贴壁细胞都会有圆形细胞、脱落细胞、细胞内颗粒等情况。

细胞内很亮小泡泡是什么东西

一部分情况下细胞内小亮点是细胞内黑色颗粒或者一些粘附在细胞表面的碎片,这种黑点会在调整显微镜焦距时呈小黑点或者小亮点,容易被误认为细胞内小泡,其实只是细胞内部或表面一些物质折光形成的光学现象。也有些是细胞内部脂滴,例如3T3-L1细胞在部分培养条件下可以明显看到内部脂滴,染色后更加清晰。

部分细胞在培养时确实可能会有空泡,可以参考细胞库照片比对。若细胞突然出现细胞内空泡增多现象,通常是细胞受到压力的表现,原因可能是培养基中缺乏谷氨酰胺、添加抗真菌剂、不适当的CO2环境对培养基中碳酸氢钠浓度影响或培养基的营养消耗殆尽。

细胞培养出现小黑点、污染如何防范

可从以下几个方面进行判断: 细胞小黑点如何判断 1、运动性:很多会动的小黑点,只是发生布朗运动的细胞碎片。从运动性上比较,浮躁的细菌活跃的多。 2、培养基的浑浊度:如果在显微镜下无法辨认,那就交给时间吧。细胞培养基对于细菌来说是非常营养的大餐。一旦发生污染,细菌就会大量繁殖。培养基PH值迅速下降,培养基变黄且会变浑浊。通常在12小时内就可以发现,而在48小时内就非常明显。被污染的细胞培养基变黄且浑浊、未被污染的细胞培养基偏红且澄清。 3、接种平板:将怀疑污染物接种在微生物培养平板中,观察菌落形成情况。碎片?细菌?一目了然。

细胞培养形态与ATCC等官网照片有点区别正常吗?

由于每个实验室培养环境、操作方法、培养基及血清品牌批次不同,细胞实际培养形态、状态、生长速度等培养特性均有可能发生改变,甚至显微镜拍摄效果对细胞形态判断都会有有一定影响。因此细胞形态只能作为实验过程中的参考项目,无法作为细胞状态或者类型的判断依据。实际上,细胞在不同细胞库培养的细胞形态都可能存在一定差异。

科研细胞购买常见问题

问:为什么官网的培养条件和我看的文献里细胞培养条件不一样呢?

答:部分细胞是会出现多种培养条件,我们公司优先选择引种来源的培养条件以及建系者所用培养条件,出现差异的原因是不同实验室在保藏过程中更改了细胞的培养条件,为了避免细胞突然更换培养条件后不适应,建议老师使用厂家推荐的培养条件培养。

问:冻存细胞运输与常温细胞运输相比有什么区别?

答:细胞株发货有常温或者冻存两种形式,常温细胞货期一般一周左右,复苏活细胞一个T25瓶发货;冻存细胞有库存的话,一般当天或者隔天可以发货,细胞系冻存细胞担心客户复苏不成功所以赠送了一管,实际发货2管;原代冻存细胞发货1管,冻存细胞发货是10公斤干冰及顺丰运输,所以冻存细胞需额外支付干冰及运输费200元。

问:培养细胞的培养瓶可以重复利用吗?

答:一般不建议重复利用,特别是贴壁不牢固细胞,重复利用会导致吸附性变差,漂浮增多;一个T25瓶建议使用最多不超过3次,其次需要注意无菌操作,避免污染。

问:运输细胞用的培养基可以回收使用吗?

答:不能回收使用的,运输用的培养基(灌液培养基)营养在路上已经消耗得差不多,所以收到细胞之后,培养箱静置4-6h之后,请及时按照说明书细胞培养条件更换新鲜培养液培养。

问:冻存的细胞出现颜色不一致,有的红有的粉,对复苏会有影响吗?

答:这种情况容易在不同冻存批次间出现,与冻存细胞的密度、冻存液配方、温度导致pH变化等有关,偶尔有遇到这种情况,不是绝对性对细胞状态有影响,可以复苏看下。

问:不同引种单位的同一株细胞,RRID都是一样的吗?

答:是的,同一个细胞系只有一个RRID。

科研细胞株售后规定

1.细胞运输途中遭遇的各种问题,细胞丢失、瓶身破损、培养液严重漏液,细胞未开封,如出现污染状况等,重发

2.细胞免费售后期为一周,一周内细胞培养出现异常及时拍照反馈。超出一周没有任何反馈视为细胞培养正常,后期若出现培养问题不再免费重发

3.申请售后时请提供细胞收货时及反馈售后当天细胞清晰照片及培养信息,若无清晰照片及相应信息,不予免费售后

4.售后仅针对由于细胞自身状态问题导致不可传代的情况,若客户收货一周内已经传代或转移细胞多次,出现死亡或者污染时不予免费售后

5.冻存细胞发货2管,客户先复苏一支,若复苏失败及时联系我方并在我方指导下复苏第二支。若客户未反馈并复苏2管失败,我方将不提供免费售后服务。冻存细胞售后均发复苏培养,若要重发冻存细胞,需补加200元干冰运输费用

6.客户自行冻存细胞一定要注意冻存后复苏一管检查冻存活性,避免冻存死亡导致绝种。我方不对客户冻存细胞死亡负责,客户冻存细胞死亡时不予免费售后

细胞百科知识

细胞培养操作视频

相关科研细胞产品推荐

X小鼠主动脉血管平滑肌细胞永生化(免疫荧光鉴定报告)-小鼠细胞系-ATCC细胞库_原代动物细胞购买-细胞资源库平台

截屏,微信识别二维码

微信号:18046200267

(点击微信号复制,添加好友)

  打开微信

微信号已复制,请打开微信添加咨询详情!
在线客服
联系方式

公司电话

15859239971

微信二维码
线