常见细胞污染类型如何辨别及预防解决方法
常见细胞污染类型如何辨别及预防解决方法:细胞培养中常见的生物污染类型有7种,分别是细菌污染,支原体污染,原虫污染,黑胶虫污染,真菌污染,病毒污染以及非细胞污染,真菌污染来源,一般是来自实验服,并且具有气候性,多雨······
发布时间:2026-03-06 17:28:26 细胞资源库平台 访问量:96
乳腺类器官(MGOs)可模拟乳腺细胞异质性与生长因子响应,是乳腺发育及疾病研究的核心工具,但传统成像技术存在局限:明场显微镜分辨率低,共聚焦显微镜光毒性强,终点检测无法捕捉动态过程。光片荧光显微镜(LSFM)通过垂直照明 - 检测设计,低光毒且成像快,适配活类器官 4D 成像。本研究旨在建立 MGOs 分离、冻存、培养及两种 LSFM(多视角、倒置)成像的完整方案,解决长期活细胞成像痛点。
来自捷克马萨里克大学、欧洲分子生物学实验室(EMBL)的团队在《Journal of Mammary Gland Biology and Neoplasia》(2025 年,Vol. 30)发表题为Live-cell imaging of mammary organoids using light sheet microscopy的研究。
(1)研究方法
乳腺类器官制备与培养: euthanasia 后分离小鼠 3-4 号乳腺,去除淋巴结,用含胶原酶和胰蛋白酶的消化液 37℃振荡消化 30 分钟,450×g 离心后经 BSA 涂层管减少黏附,DNase I 处理去杂质,差异离心分离类器官;无血清冻存液(Synth-A-Freeze/Cellbanker 2)冻存(1mL 含 1000-3000 个类器官),复苏时 37℃水浴后用 DMEM/F12 稀释离心;接种时类器官与 ECM 混合铺板,单细胞类器官需额外经长时消化、胰酶解离为单细胞,胶原 I 涂层培养后再接种。
LSFM 成像与样本制备:多视角 LSFM 将类器官注入 FEP 管(1-3mm),ECM 包裹后置于 37℃、5% CO₂成像室,ZEISS Lightsheet 7 成像(10 分钟间隔,持续 24 小时);倒置 LSFM 将类器官接种于 V 形 FEP 孔,大尺寸类器官直接铺 ECM,小尺寸类器官需消化重悬后用混合 ECM 接种,Luxendo TruLive3D 成像;明亮场定位样本,设激光功率与 Z 轴范围,按实验需求调整时间间隔(3-30 分钟),图像经最大强度投影(MIP)处理。
(2)关键结果
成功建立 MGOs 全流程实验体系,组织消化得率达每只小鼠 1000-3000 个,无血清冻存液复苏存活率高于含 FBS 冻存液,复苏后 6 天内可复现分支形态;验证两种 LSFM 适配性,多视角 LSFM 适合大尺寸上皮碎片类器官(>100μm),可同时成像多个样本,倒置 LSFM 适合小尺寸单细胞类器官(<50μm),成像质量稳定;实现长期动态成像,捕捉单细胞类器官 72 小时生长、上皮碎片类器官 18 小时分支延伸及 4 小时信号波动,全程无光毒性导致的形态异常。

图 1:光片荧光显微镜(LSFM)原理与两种成像 setup
该图对比多视角与倒置 LSFM 的工作原理及代表性图像。(A)多视角 setup:样本悬浮于成像室中央,照明与检测物镜在同一平面环绕样本,示意图展示 FEP 管样本 holder;(B)多视角 LSFM 的乳腺 EKAREV-NLS 类器官明场与荧光图像,荧光信号清晰标记核内 biosensor;(C)倒置 setup:检测物镜位于 V 形样本 holder 下方,成像室充水,示意图展示 V 形 FEP 孔结构;(D)倒置 LSFM 的类器官图像,明场可见 ECM 包埋的类器官,荧光图显示核标记信号。图示明确两种 setup 的核心差异,为后续样本 mounting 提供原理支撑。

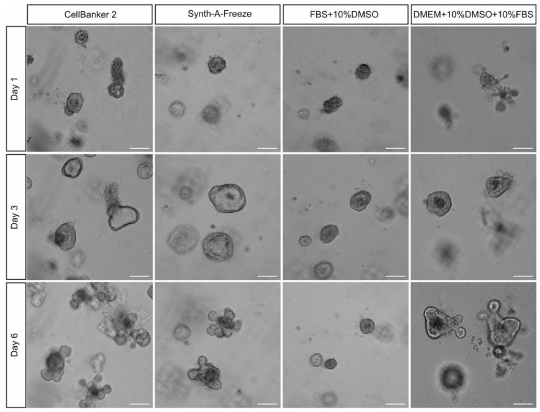
图 2:不同冻存液对乳腺类器官复苏后形态的影响
该图比较 4 种冻存液(CellBanker 2、Synth-A-Freeze、FBS+10% DMSO、DMEM+10% DMSO+10% FBS)复苏后类器官的形态发生。类器官冻存 5 周后复苏,在 2.5nM FGF2 培养 6 天,无血清冻存液(CellBanker 2、Synth-A-Freeze)组类器官分支更完整、 lumen 清晰,而含 FBS 的冻存液组类器官形态不规则、分支减少。图示证实无血清冻存液更适合乳腺类器官长期保存,为样本储备提供优化方案。

图 3:多视角 LSFM 的样本 mounting 步骤
该图详细展示多视角 LSFM 的 FEP 管样本制备流程。(A)所需器材:100mm 培养皿、24-26G 针头、1mL 注射器、 parafilm;(B)组装的 holder 示意图,箭头标注 FEP 管片段;(C-J) mounting 关键步骤:空 FEP 管(C)→注入 ECM 形成双凸结构(D)→加入类器官(白色箭头,E)→ECM 覆盖密封(F-G)→注射器安装到多视角平台(H)→样本置于成像室(I-J)。图示分步指导复杂的 FEP 管 mounting 操作,降低实验重复性难度。

图 4:倒置 LSFM 的样本 mounting 步骤
该图展示倒置 LSFM 的 V 形 FEP 孔样本制备。(A)标记的 V 形样本 holder 置于操作架;(B)V 形 holder 放入成像室;(C-E)关键步骤:在 V 形孔底部滴加 Matrigel(C)→用移液器 tip 将 ECM 铺展成线(D)→转移类器官至 ECM 线中央(E)。图示简化倒置 setup 的样本制备,突出 V 形孔对小尺寸类器官定位的优势。

图 5:乳腺类器官的 LSFM 时间序列成像结果
该图呈现 3 种时间序列成像案例。(A)单细胞来源类器官:H2B-mCherry 标记核,SPY650-FastAct 标记 actin,72 小时内(30 分钟间隔)从 8-10 细胞生长为带 lumen 的小囊泡,比例尺 20μm;(B)上皮碎片来源类器官:EKAREV-NLS biosensor 标记,18 小时(10 分钟间隔)内分支逐步延伸,荧光信号反映 ERK 活性,比例尺 40μm;(C)上皮碎片类器官 4 小时高频率成像(3 分钟间隔),捕捉 biosensor 信号的瞬时变化,比例尺 100μm。图示直观验证 LSFM 对不同类型乳腺类器官的长期动态追踪能力,体现技术在形态与信号监测中的双重价值。
本研究建立 MGOs 分离、冻存、培养及 LSFM 成像的完整方案,核心贡献包括:优化制备流程,无血清冻存液提升复苏后存活率;阐明两种 LSFM 适配性,多视角适合大尺寸、倒置适合小尺寸类器官;实现长期动态成像,捕捉类器官生长与信号变化且无光毒。方案填补 MGOs 长期活成像空白,为乳腺研究提供工具。局限性为大尺寸类器官倒置成像受限,未涉及人类 MGOs,后续需优化适配性。
常见细胞污染类型如何辨别及预防解决方法:细胞培养中常见的生物污染类型有7种,分别是细菌污染,支原体污染,原虫污染,黑胶虫污染,真菌污染,病毒污染以及非细胞污染,真菌污染来源,一般是来自实验服,并且具有气候性,多雨······
细胞聚团的原因分析及如何避免:培养物中细胞可能聚集的一些原因包括:1.过度消化、2.环境压力、3.组织分解、4.过度生长、5.污染等;如何避免聚团细胞的生成;首先确认当前细胞生长密度及状态,80%左右的生长密度即可进行······
细胞有空泡原因分析及解决方法:出现细胞空泡情况有1.细胞老化2.培养液错误配制;3.细胞消化时操作不当;4.污染等等,如细胞老化,解决方法,原代细胞使用较低代次进行实验,传代细胞避免传代次数过高···
细胞半换液和全换液操作步骤:第一种方式:细胞全换液;如果是贴壁细胞,可以用全量换液法,直接吸去全部旧培养基,补充足量新鲜完全培养基;第二种方式:细胞半换液;"细胞半换液"又称"细胞半量换液",即弃掉一半旧的培养基,再······
细胞生长缓慢的可能原因有哪些:细胞培养外部因素包括细胞培养基的配方和质量问题,培养条件不理想,污染问题,细胞自身因素包含细胞的健康状态,细胞密度过高或过低,细胞老化现象,细胞特性,当细胞生长出现缓慢的问题时,我······
常用胰腺癌细胞株动物模型及胰腺癌细胞株有哪些:胰腺癌研究中常用的动物模型主要包括化学物质诱导胰腺癌动物模型,基因工程胰腺癌小鼠模型和胰腺癌移植模型,常用的胰腺细胞株MIA-PACA-2人胰腺癌细胞,Capan-2人胰腺癌细······
产品规格:1*10^6
¥3000
产品规格:1*10^6
¥3000
产品规格:1*10^6
¥3000
产品规格:1*10^6
¥3000
上一篇:延长 FGF9 处理减少 iPSC 来源肾类器官异位软骨细胞并维持肾结构与功能的研究
下一篇:巨噬细胞通过 CXCL5/8-CXCR2 轴促进多发性骨髓瘤(MM)异常 DNA 修复的机制研究