常见细胞污染类型如何辨别及预防解决方法
常见细胞污染类型如何辨别及预防解决方法:细胞培养中常见的生物污染类型有7种,分别是细菌污染,支原体污染,原虫污染,黑胶虫污染,真菌污染,病毒污染以及非细胞污染,真菌污染来源,一般是来自实验服,并且具有气候性,多雨······
发布时间:2026-01-22 09:00:00 细胞资源库平台 访问量:194
肠道类器官作为模拟肠道上皮结构和功能的重要模型,其培养长期依赖成分不明的动物来源基质(如 Matrigel),限制了对细胞外基质(ECM)在类器官发育中作用的解析,也阻碍了临床转化应用。目前,合成水凝胶虽能模拟物理特性,但对 ECM 的生物学功能(如干细胞 niche 维持、细胞分化调控)研究不足。本研究通过可调谐的化学定义合成水凝胶,系统探究 ECM 在小鼠和人类肠道类器官发育中的作用,揭示上皮细胞可分泌自身 ECM 形成干细胞 niche,且该分泌的 ECM 能替代外源性 ECM 支持类器官形成,为无动物来源基质的类器官培养提供新策略。
来自瑞士洛桑联邦理工学院的团队在《Developmental Cell》(2025 年 12 月,Vol. 60)发表了题为An extracellular matrix niche secreted by epithelial cells drives intestinal organoid formation的研究。

模型构建:使用 PEG 基合成水凝胶(含 RGD 或 GFOGER 整合素结合肽),对比有无外源性层粘连蛋白 - 1(Lam-1)及 Matrigel 中,小鼠肠道干细胞(mISCs)的类器官形成效率;
ECM 分析:通过 RNA-seq、蛋白质组学鉴定上皮细胞分泌的 ECM 成分,免疫荧光定位层粘连蛋白等分子的空间分布;
功能验证:收集上皮细胞分泌的条件培养基(CM),整合到合成水凝胶中,评估其支持类器官形成的能力;通过 shRNA 敲低层粘连蛋白链(Lama3),验证内源性 ECM 的作用。
无外源性 ECM 时,mISCs 形成富含再生细胞(LY6A⁺)的上皮结构,这些细胞分泌层粘连蛋白 - rich 基底膜,形成内源性干细胞 niche,支持类器官形成;
鉴定出关键层粘连蛋白链:Lama3、Lamb3、Lamc2(泛表达)及 Lamb1、Lamc1(局限于隐窝区域),其中 Lam-332(Lama3/Lamb3/Lamc2)是再生细胞分泌的主要亚型;
上皮细胞分泌的 ECM(通过 CM 浓缩获得)能替代外源性 Lam-1,显著提高类器官形成效率(达 Matrigel 水平),并促进细胞退出再生状态、实现谱系分化;
Lama3 敲低导致 mISCs 滞留于再生状态(LY6A⁺比例 > 90%),证实内源性 ECM对类器官发育的必要性;
人类小肠类器官在无外源性层粘连蛋白的 PEG 水凝胶中可存活,虽再生标志物(ANXA1)上调、干细胞标志物(OLFM4)下调,但细胞分区不如小鼠模型明确,提示需优化人源类器官培养条件。

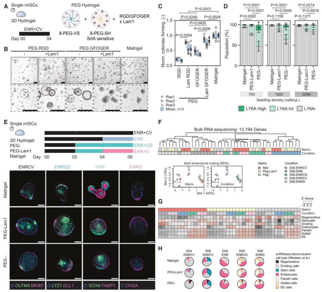
图 1:3D 水凝胶中鼠肠道干细胞(mISCs)的类器官形成与再生表型
该图探究不同基质(PEG 水凝胶 ±Lam-1、Matrigel)对 mISCs 的影响。(A)展示 PEG 水凝胶培养体系示意图;(B-C)光镜显示 4 天内 mISCs 形成的集落形态,GFOGER 肽作为整合素配体时集落形成效率高于 RGD,且无 Lam-1 时上皮层较薄;(D)流式分析显示,无 Lam-1 的 PEG 水凝胶中 LY6A⁺再生细胞比例(GFOGER 约 53%、RGD 约 80%)显著高于 Matrigel(约 7%),高接种密度可降低再生细胞比例;(E)免疫荧光证实,通过调控 Wnt/Notch 信号,无 Lam-1 时 mISCs 仍能分化为干细胞(OLFM4⁺)、潘氏细胞(LYZ1⁺)等谱系;(F-H)RNA-seq 聚类和反卷积分析显示,细胞类型组成主要受分化条件(如 ENRCV、ENR)影响,无 Lam-1 时再生标志物高表达。

图 2:层粘连蛋白在类器官中的空间分布
该图分析层粘连蛋白的内源性分泌与定位。(A-B)免疫荧光显示,无 Lam-1 的 PEG 水凝胶中,层粘连蛋白主要在干细胞 niche(FABP1⁻区域)表达,而 Matrigel 中呈外周分布,初始 mISCs 无层粘连蛋白表达;(C-D)通过 ROI 拉直分析,无 Lam-1 时层粘连蛋白强度与 FABP1(肠上皮标志物)呈负相关,Matrigel 中无明显关联;(E)定量显示 PEG 水凝胶中两者相关性显著(rₚ=-0.2089),证实层粘连蛋白在干细胞 niche 的特异性分布。

图 3:内源性层粘连蛋白链的鉴定
该图通过转录组和蛋白质组筛选关键层粘连蛋白。(A)热图显示,无 Lam-1 时 Lama3、Lamb3、Lamc2 等表达上调;(B)免疫荧光证实 LAMB1(胞内及外周)和 LAMC1(基底侧)在无 Lam-1 类器官中的定位;(C-E)蛋白质组分析显示,无 Lam-1 时 LAMA3、LAMB3、LAMC2 富集,而 Matrigel 中以 LAMA1 为主;(F)共定位显示层粘连蛋白与再生标志物 LY6A 共表达,证实再生细胞为分泌源。

图 4:再生细胞分泌 ECM 的功能验证
该图评估条件培养基(CM)中 ECM 的活性。(A-C)2D 培养显示,GFOGER 肽可替代胶原 I 支持 mISCs 存活,且细胞分泌 LAMB1、COL4 等 ECM 成分;(D-E)CM 经 50kDa 滤膜浓缩后(CM R),其包被表面可支持 mISCs 黏附,效果接近胶原 I,证实分泌 ECM 的功能性。

图 5:分泌 ECM 替代外源性 Lam-1 的效果
该图验证 CM R 在 3D 培养中的作用。(A-B)PEG 水凝胶中加入 CM R 后,集落形成效率显著提高,接近 Matrigel 水平;(C)流式显示 LY6A⁺细胞比例降低(类似 PEG-Lam1 组);(D-E)分化后出现芽状结构,免疫荧光证实肠上皮(FABP1⁺)和干细胞(OLFM4⁺)的分区;(F-G)无 Wnt 激动剂时,CM R 支持类器官形成效率达 4%(与 Matrigel 相当),证实其作为干细胞 niche 的功能。

图 6:Lama3 敲低对类器官发育的影响
该图验证内源性 ECM 的必要性。(A-B)shRNA 敲低 Lama3 后,Lama3 表达下降 12 倍,其他再生标志物(Ly6a)不受影响;(C-F)敲低细胞在 PEG 水凝胶中 LY6A⁺比例 > 90%(野生型 < 18%),补充 Lam-1 或 CM R 仅部分恢复,证实 Lama3 对细胞退出再生状态的关键作用。

图 7:人类小肠类器官在 PEG 水凝胶中的表现
该图探索人源模型的适用性。(A-B)人类小肠干细胞(hISCs)在无 Lam-1 的 PEG 水凝胶中可形成类器官,ANXA1(再生标志物)上调、OLFM4 下调;(C)免疫荧光显示细胞多样性,但隐窝 - 绒毛分区不明显;(D-E)2D 培养中 hISCs 难以形成单层,提示需优化培养条件。
本研究通过合成水凝胶模型揭示:肠道上皮细胞(尤其是再生细胞)可分泌内源性 ECM(以 Lam-332 为主),形成干细胞 niche,支持类器官发育,无需依赖外源性基质。关键发现包括:再生细胞分泌的层粘连蛋白可替代 Matrigel 中的外源性 ECM;Lama3 是内源性 ECM 的核心成分,其缺失导致细胞滞留于再生状态;上皮细胞分泌的 ECM 经浓缩后可高效支持类器官培养。该研究为类器官培养摆脱动物来源基质提供了实验依据,推动临床转化。局限性在于人类类器官的细胞分区和培养条件仍需优化,未来需深入探究其他 ECM 成分(如胶原)的作用及跨物种适用性。
常见细胞污染类型如何辨别及预防解决方法:细胞培养中常见的生物污染类型有7种,分别是细菌污染,支原体污染,原虫污染,黑胶虫污染,真菌污染,病毒污染以及非细胞污染,真菌污染来源,一般是来自实验服,并且具有气候性,多雨······
细胞聚团的原因分析及如何避免:培养物中细胞可能聚集的一些原因包括:1.过度消化、2.环境压力、3.组织分解、4.过度生长、5.污染等;如何避免聚团细胞的生成;首先确认当前细胞生长密度及状态,80%左右的生长密度即可进行······
细胞有空泡原因分析及解决方法:出现细胞空泡情况有1.细胞老化2.培养液错误配制;3.细胞消化时操作不当;4.污染等等,如细胞老化,解决方法,原代细胞使用较低代次进行实验,传代细胞避免传代次数过高···
细胞半换液和全换液操作步骤:第一种方式:细胞全换液;如果是贴壁细胞,可以用全量换液法,直接吸去全部旧培养基,补充足量新鲜完全培养基;第二种方式:细胞半换液;"细胞半换液"又称"细胞半量换液",即弃掉一半旧的培养基,再······
细胞生长缓慢的可能原因有哪些:细胞培养外部因素包括细胞培养基的配方和质量问题,培养条件不理想,污染问题,细胞自身因素包含细胞的健康状态,细胞密度过高或过低,细胞老化现象,细胞特性,当细胞生长出现缓慢的问题时,我······
常用胰腺癌细胞株动物模型及胰腺癌细胞株有哪些:胰腺癌研究中常用的动物模型主要包括化学物质诱导胰腺癌动物模型,基因工程胰腺癌小鼠模型和胰腺癌移植模型,常用的胰腺细胞株MIA-PACA-2人胰腺癌细胞,Capan-2人胰腺癌细······
产品规格:1*10^6
¥3000
产品规格:1*10^6
¥3000
产品规格:1*10^6
¥3000
产品规格:1*10^6
¥3000
上一篇:突破 HBV 细胞培养瓶颈!preS1 区 11 个氨基酸缺失让病毒感染效率提升 10 倍
下一篇:患者来源肠道类器官揭示儿童炎症性肠病遗传驱动相关的上皮表型研究