常见细胞污染类型如何辨别及预防解决方法
常见细胞污染类型如何辨别及预防解决方法:细胞培养中常见的生物污染类型有7种,分别是细菌污染,支原体污染,原虫污染,黑胶虫污染,真菌污染,病毒污染以及非细胞污染,真菌污染来源,一般是来自实验服,并且具有气候性,多雨······
发布时间:2026-01-21 09:01:44 细胞资源库平台 访问量:103
Reporter THP1 Cell Line 细胞系是以 THP-1 为工具细胞,采用慢病毒感染的方式,构建稳定表达报告基因的细胞系,可用于检测信号通路转导。在被PMA、INF-α等刺激后,目标信号通路被激活,会启动下游特定基因的表达,这个表达过程会同时带动“报告基因”的表达。通过检测报告基因的信号强度,可以间接、定量、灵敏地衡量该信号通路的激活程度。
THP-1细胞本身来源于人单核细胞,可以分化为巨噬细胞样细胞,是研究先天免疫的经典模型。报告基因株的建立使其功能更强大。THP-1报告基因株是免疫学、炎症性疾病、药物研发等领域不可或缺的强大工具。它可以将一个复杂的、内在的生物学过程(信号通路激活/基因表达)转变为一个易于检测、可定量的物理信号(光或荧光)。这使得研究人员能够高通量地筛选药物,精确地量化免疫反应强度,直观地研究信号通路机制。
英文标题:Absence of IκBβ/NFκB signaling does not attenuate acetaminophen-induced hepatic injury
中文标题:IκBβ/NFκB 信号通路缺失不能减轻对乙酰氨基酚诱导的肝损伤
发表期刊:《The Anatomical Record》
影响因子:2.1
作者单位:
1.Section of Neonatology, Department of Pediatrics, University of Colorado School of Medicine, Aurora, Colorado, USA
2.Department of Pathology, University of Colorado Anschutz School of Medicine, Aurora, Colorado, USA
作者信息:
Mack Solar,Maya R. Grayck;通讯作者(Clyde J. Wright:clyde.wright@cuanschutz.edu)
对乙酰氨基酚(APAP)中毒是急性肝衰竭的常见原因,先天免疫信号尤其是 NFκB 激活在 APAP 诱导的肝损伤中作用复杂,既参与炎症损伤,也调控肝脏修复再生。IκBβ 作为 NFκB 的抑制蛋白,其降解后可稳定 NFκB 与 DNA 的结合,维持靶基因持续表达,但该通路在 APAP 肝损伤中的作用尚未明确。此前研究显示,过表达 IκBβ 会加重 APAP 肝损伤,因此推测 IκBβ/NFκB 信号缺失可能减轻损伤。本研究通过 IκBβ 敲除(IκBβ⁻/⁻)小鼠模型,探究该通路在 APAP 肝损伤中的作用,为临床治疗提供依据。
采用 6-8 周龄雄性 WT 和 IκBβ⁻/⁻小鼠,腹腔注射 280 mg/kg APAP 构建肝损伤模型,分别在早期(2、8、24 小时)和晚期(48、72 小时)处死小鼠。检测指标包括:1)肝组织病理学评分(坏死、炎症、窦状隙扩张及总损伤评分);2)血清 ALT 活性评估肝损伤程度;3)RT-qPCR 检测 NFκB 相关促炎基因(Cxcl1、Tnf 等)、抗炎基因(Il10、Tnfaip3 等)及 Nrf2 抗氧化靶基因(Gclc、Hmox 等)的表达;4)Western blot 检测肝组织 IκBα、IκBβ、NFκB 亚基(p65、p50)及 CYP2E1 的表达。统计学分析采用 Student’s t 检验和双向 ANOVA,P<0.05 为差异有意义。

图 1:WT 与 IκBβ⁻/⁻小鼠肝组织基础蛋白表达
Western blot 结果显示,IκBβ⁻/⁻小鼠肝组织中 IκBβ 蛋白完全缺失,IκBα 表达显著升高(代偿性上调),CYP2E1(APAP 代谢关键酶)表达在两组间无差异(图 1a-d)。核提取物检测显示,WT 与 IκBβ⁻/⁻小鼠的 NFκB 亚基 p65、p50 表达水平一致(图 1e-g),证实敲除 IκBβ 不影响基础 NFκB 亚基表达及 APAP 代谢能力。

图 2:APAP 诱导的急性肝损伤(2-24 小时)组织学与血清学结果
未给药时两组小鼠肝组织无明显异常(图 2a);APAP 处理后,两组均出现明显肝损伤,8 和 24 小时坏死评分、炎症评分、总损伤评分显著升高,且组间无差异(图 2e、f、j)。仅 2 小时时 IκBβ⁻/⁻小鼠炎症评分显著高于 WT(图 2f),高倍镜显示其小叶中心区有淋巴细胞浸润,而 WT 小鼠无此现象(图 2g、h)。血清 ALT 在两组均显著升高,8 小时时 IκBβ⁻/⁻小鼠 ALT 水平高于 WT(图 2k),但 24 小时时差异消失,证实 IκBβ 缺失未减轻急性肝损伤,反而早期炎症和 ALT 升高更明显。

图 3:APAP 诱导的急性转录反应(2-24 小时)
RT-qPCR 检测显示,促炎基因中,WT 小鼠 Cxcl1、Tnf、Ptgs2 在 8-24 小时显著上调,而 IκBβ⁻/⁻小鼠中这些基因未诱导表达,Ccl2 上调显著减弱(图 3a、b、e、f);抗炎基因中,WT 小鼠 Il10 在 2 小时上调,IκBβ⁻/⁻小鼠中显著衰减,而 Tnfaip3、Nfkbia 在两组均正常上调(图 3g-i);Nrf2 靶基因中,两组 Gclc 表达相似,IκBβ⁻/⁻小鼠 Hmox 在 2-8 小时、Nqo1 在 8 小时上调更显著(图 3j-l)。表明 IκBβ 缺失导致部分 NFκB 促炎基因表达衰减,但抗炎基因和抗氧化基因表达未受明显影响。

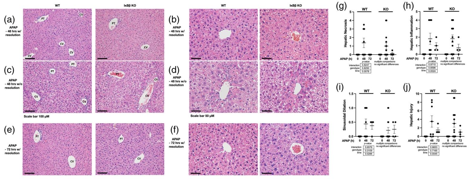
图 4:APAP 诱导的晚期肝损伤恢复(48-72 小时)组织学结果
48 小时时,两组小鼠肝损伤恢复存在个体差异,部分小鼠完全恢复,部分仍有小叶中心区损伤(图 4a-d);72 小时时所有小鼠均实现组织学完全恢复(图 4e、f)。组织学评分显示,两组在 48 和 72 小时的坏死、炎症、窦状隙扩张及总损伤评分均无显著差异(图 4g-j),证实 IκBβ 缺失不影响肝损伤的晚期恢复进程。

图 5:APAP 诱导的晚期转录反应(48-72 小时)
RT-qPCR 结果显示,促炎基因中,WT 小鼠 Il1b、Il6 在 72 小时显著上调,IκBβ⁻/⁻小鼠中表达显著衰减(图 5c、d);Ptgs2 在 WT 小鼠 48 小时下调,组间存在差异(图 5e);抗炎基因 Il10、Tnfaip3、Nfkbia 在两组表达无差异(图 5g-i);Nrf2 靶基因中,仅 Gclc 在 WT 小鼠 72 小时上调,IκBβ⁻/⁻小鼠中表达较低(图 5j)。表明晚期 IκBβ 缺失仍影响部分 NFκB 靶基因表达,但未改变整体恢复结局。
本研究通过 IκBβ⁻/⁻小鼠模型探究 IκBβ/NFκB 信号在 APAP 肝损伤中的作用,核心结论如下:1)IκBβ 缺失不影响 APAP 代谢关键酶 CYP2E1 的基础表达;2)急性阶段,IκBβ⁻/⁻小鼠肝损伤程度与 WT 无差异,反而早期炎症评分和血清 ALT 水平更高,部分 NFκB 促炎基因(Cxcl1、Tnf 等)表达衰减,但抗炎基因和抗氧化基因表达基本正常;3)晚期阶段,两组小鼠均能在 72 小时实现组织学完全恢复,IκBβ 缺失仅影响 Il1b、Il6 等基因的晚期表达,不影响恢复进程;4)IκBβ/NFκB 信号通路缺失不能减轻 APAP 诱导的肝损伤,靶向该通路治疗 APAP 肝损伤的临床潜力有限。
常见细胞污染类型如何辨别及预防解决方法:细胞培养中常见的生物污染类型有7种,分别是细菌污染,支原体污染,原虫污染,黑胶虫污染,真菌污染,病毒污染以及非细胞污染,真菌污染来源,一般是来自实验服,并且具有气候性,多雨······
细胞聚团的原因分析及如何避免:培养物中细胞可能聚集的一些原因包括:1.过度消化、2.环境压力、3.组织分解、4.过度生长、5.污染等;如何避免聚团细胞的生成;首先确认当前细胞生长密度及状态,80%左右的生长密度即可进行······
细胞有空泡原因分析及解决方法:出现细胞空泡情况有1.细胞老化2.培养液错误配制;3.细胞消化时操作不当;4.污染等等,如细胞老化,解决方法,原代细胞使用较低代次进行实验,传代细胞避免传代次数过高···
细胞半换液和全换液操作步骤:第一种方式:细胞全换液;如果是贴壁细胞,可以用全量换液法,直接吸去全部旧培养基,补充足量新鲜完全培养基;第二种方式:细胞半换液;"细胞半换液"又称"细胞半量换液",即弃掉一半旧的培养基,再······
细胞生长缓慢的可能原因有哪些:细胞培养外部因素包括细胞培养基的配方和质量问题,培养条件不理想,污染问题,细胞自身因素包含细胞的健康状态,细胞密度过高或过低,细胞老化现象,细胞特性,当细胞生长出现缓慢的问题时,我······
常用胰腺癌细胞株动物模型及胰腺癌细胞株有哪些:胰腺癌研究中常用的动物模型主要包括化学物质诱导胰腺癌动物模型,基因工程胰腺癌小鼠模型和胰腺癌移植模型,常用的胰腺细胞株MIA-PACA-2人胰腺癌细胞,Capan-2人胰腺癌细······
产品规格:1*10^6
¥3000
产品规格:1*10^6
¥3000
产品规格:1*10^6
¥3000
产品规格:1*10^6
¥3000
上一篇:胎儿结肠细胞来源的人类肠道类器官模型用于研究肠道病毒 pathogenesis
下一篇:突破 HBV 细胞培养瓶颈!preS1 区 11 个氨基酸缺失让病毒感染效率提升 10 倍