常见细胞污染类型如何辨别及预防解决方法
常见细胞污染类型如何辨别及预防解决方法:细胞培养中常见的生物污染类型有7种,分别是细菌污染,支原体污染,原虫污染,黑胶虫污染,真菌污染,病毒污染以及非细胞污染,真菌污染来源,一般是来自实验服,并且具有气候性,多雨······
发布时间:2026-01-11 17:32:13 细胞资源库平台 访问量:160
为应对消化道肿瘤在临床治疗中面临的高侵袭性、易转移与化疗耐药等共同挑战,推动更具针对性的基础研究与药物开发,建立并系统表征了一系列源自原发肿瘤的细胞系。该系列模型涵盖多种高发及罕见癌种,包括胰腺导管腺癌(PDAC-X1, PDAC-X2, PDAC-X3)、肝细胞癌(Hep-X1)、壶腹癌(DPC-X1)、肝内胆管癌(ICC-X1, ICC-X2, ICC-X3)、胆囊癌(GBC-X1)以及联合肝细胞-胆管癌(CHC-X1)。这些细胞系不仅在体外表现出稳定的增殖能力,更能在体内高效成瘤,其病理特征、分子表型(如特定基因突变)以及组织学结构均与临床原发肿瘤高度相似,确保了模型优异的临床相关性。
作为宝贵的临床前研究工具,该系列细胞系为深入探索肿瘤发生发展机制、侵袭转移规律、耐药分子基础提供了核心平台。同时,它们也是筛选抗癌药物、验证新型疗法、以及开展个体化精准治疗研究的理想实验模型。本系列细胞系的成功构建,填补了特定癌种(如混合型壶腹癌)模型的空白,为全面揭示中国人消化道肿瘤的生物学特性、研发新的诊断与治疗策略奠定了坚实的资源基础。
英文标题:Establishment and characterization of a new intrahepatic cholangiocarcinoma cell line, ICC-X3
中文标题:新肝内胆管癌细胞系 ICC-X3 的建立与表征
发表期刊:《Human Cell》
影响因子:3.1
作者单位:
1.The Fourth Department of General Surgery, the First Hospital of Lanzhou University, Lanzhou 730000, Gansu, China
2.State Key Laboratory of Veterinary Etiological Biology, Key Laboratory of Animal Virology of the Ministry of Agriculture, Lanzhou Veterinary Research Institute, Chinese Academy of Agricultural Sciences, Lanzhou 730000, Gansu, China
3.The Second Clinical Medical College, Lanzhou University, Lanzhou 730000, Gansu, China
4.Department of General Surgery, the Second Hospital of Lanzhou University, Lanzhou 730000, Gansu, China
作者信息:
Hao Xu¹, Wei Luo¹, Zhenjie Zhao¹, Xin Miao², Changpeng Chai¹, Jinjing Hu¹, Huan Tang³, Hui Zhang⁴, Wence Zhou³,⁴*
肝内胆管癌(ICC)是恶性程度极高的胆道系统肿瘤,易复发转移,化疗敏感性差,预后恶劣。由于 ICC 异质性强且种族差异对药效影响显著,现有细胞系难以满足基础研究与临床转化需求,尤其是中国人群来源的 ICC 细胞系报道较少。本研究从一名 ICC 患者的卫星灶组织中建立新细胞系 ICC-X3,系统表征其生物学特性,为研究 ICC 进展、转移及耐药机制提供适配中国人群的实验模型。
本研究以 62 岁女性 ICC 患者的手术切除卫星灶组织为来源,经无菌 PBS 清洗、剪碎后,用 II 型胶原酶和中性蛋白酶 37℃消化 1 小时,100 目滤网过滤、离心收集细胞,接种于含 10% 胎牛血清的 RPMI-1640 培养基,通过机械刮除法去除成纤维细胞,传代培养建立细胞系;采用 STR 分析验证细胞来源与排除交叉污染,核型分析观察染色体特征;CCK-8 法绘制生长曲线并计算倍增时间;进行肿瘤球和类器官培养评估干细胞特性;借助 CCK-8 法检测细胞对奥沙利铂、紫杉醇、吉西他滨和 5 - 氟尿嘧啶(5-FU)的药物敏感性;将 1×10⁶个细胞皮下接种于 BALB/c 裸鼠构建异种移植模型,观察成瘤情况;通过 HE 染色观察组织形态,免疫组织化学(IHC)检测 CK7、CK19、Ki-67、E - 钙粘蛋白(E-cadherin)和波形蛋白(vimentin)的表达;PCR 扩增结合测序筛选 TP53 基因突变;所有统计分析采用 SPSS 22.0 软件,p<0.05 为差异有统计学意义。

图 1:ICC-X3 细胞的形态、肿瘤球及类器官培养
该图展示细胞系基础特征:患者肝脏 CT 显示 S4 段 9×7cm 肿瘤灶(图 1A),手术标本可见原发灶周围多个卫星灶(图 1B);原代培养第 3 天细胞开始贴壁生长(图 1C),传至第 90 代仍保持稳定形态,以梭形为主,少量多边形和圆形细胞(图 1D);肿瘤球培养显示细胞在无血清培养基中可悬浮形成结构完整的球体(图 1E),类器官培养 7-14 天后形成腺管样结构,细胞连接紧密,内部可见腔样结构(图 1F),提示其具有干细胞特性。

图 2:ICC-X3 的 STR 分析、生长曲线及核型分析
该图验证细胞系核心身份与增殖特性:STR 分析显示 ICC-X3 与原发肿瘤组织高度匹配,似然比(LR)达 5.0731×10²⁰,无交叉污染(图 2A);生长曲线显示细胞倍增时间为 36 小时,增殖活力旺盛(图 2B);核型分析显示细胞为亚四倍体,染色体数量和形态差异显著,代表性核型为 81,XXX del (6)(p21)、del (12)(q23)、del (X)(q13)、+3、+15、+16 (×3)、+mar (×7)(图 2C)。

图 3:ICC-X3 的药物敏感性测试
该图明确细胞耐药特征:ICC-X3 对临床常用的四种化疗药物均呈天然耐药,其中奥沙利铂 IC₅₀=38.36μmol/L(图 3A),5-FU IC₅₀=119.5μmol/L(图 3B),紫杉醇 IC₅₀=11.21ng/mL(图 3C),吉西他滨 IC₅₀=18.18μmol/L(图 3D),是研究 ICC 多药耐药机制的理想模型。

图 4:ICC-X3 的裸鼠异种移植实验
该图证实细胞体内成瘤能力:1×10⁶个 ICC-X3 细胞皮下接种 BALB/c 裸鼠后,成瘤率达 100%(图 4A);异种移植瘤呈浸润性生长(图 4B),4 周时肿瘤直径接近 1cm(图 4C),裸鼠其他器官未发现转移灶(图 4D);肿瘤体积和重量随时间持续增长,生长曲线稳定(图 4E-F)。

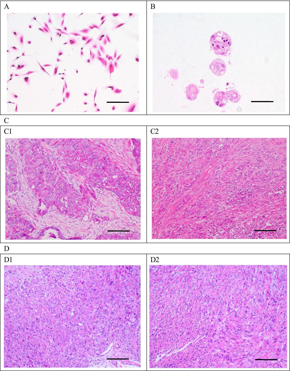
图 5:ICC-X3 细胞、类器官、原发肿瘤及异种移植瘤的 HE 染色
该图展示组织形态一致性:ICC-X3 细胞呈梭形,核大、核仁明显、胞质少(图 5A);类器官形成腺管样结构,内部有腔样结构(图 5B);原发肿瘤为中 - 低分化 ICC,部分为未分化癌(图 5C1-C2);异种移植瘤细胞核深染、核仁明显,可见大量核分裂象,部分细胞形成腺管样结构,部分呈梭形,保留原发肿瘤的异质性(图 5D1-D2)。

图 6:ICC-X3 细胞、类器官及异种移植瘤的 IHC 染色
该图验证生物学标志物表达:ICC-X3 细胞、类器官及异种移植瘤均阳性表达胆管上皮标志物 CK7(图 6A1-C1)和 CK19(图 6A2-C2);Ki-67 阳性表达率高,体现恶性增殖特性(图 6A3-C3);同时阳性表达 E-cadherin(图 6A4-C4)和 vimentin(图 6A5-C5),提示细胞具有上皮 - 间质转化(EMT)特征,与临床多发卫星灶的表现一致。

图 7:ICC-X3 的 TP53 突变检测
该图揭示基因突变特征:PCR 凝胶电泳证实 TP53 全长片段克隆成功(图 7A);测序结果显示 ICC-X3 细胞的 TP53 基因存在 C→T 错义突变(图 7B),互补链对应 G→A 突变(图 7C),该突变可能与细胞侵袭转移能力增强相关。
本研究成功建立了一株新的肝内胆管癌细胞系 ICC-X3,该细胞系来源于 ICC 患者的卫星灶组织,已稳定传代超过 90 代,保藏于中国典型培养物保藏中心(CCTCC NO:202260)。ICC-X3 具有以下核心特性:倍增时间 36 小时,增殖旺盛;STR 分析证实与原发肿瘤高度同源;核型为亚四倍体,染色体异常显著;具有干细胞特性,可形成肿瘤球和类器官;对奥沙利铂、紫杉醇、吉西他滨和 5-FU 均呈天然耐药;裸鼠皮下接种成瘤率 100%,异种移植瘤保留原发肿瘤异质性;阳性表达 CK7、CK19、Ki-67、E-cadherin 和 vimentin,具有 EMT 特征;存在 TP53 基因错义突变。该细胞系为研究中国人群 ICC 的进展、转移及多药耐药机制提供了理想的实验模型,对推动 ICC 基础研究与临床转化具有重要价值。
常见细胞污染类型如何辨别及预防解决方法:细胞培养中常见的生物污染类型有7种,分别是细菌污染,支原体污染,原虫污染,黑胶虫污染,真菌污染,病毒污染以及非细胞污染,真菌污染来源,一般是来自实验服,并且具有气候性,多雨······
细胞聚团的原因分析及如何避免:培养物中细胞可能聚集的一些原因包括:1.过度消化、2.环境压力、3.组织分解、4.过度生长、5.污染等;如何避免聚团细胞的生成;首先确认当前细胞生长密度及状态,80%左右的生长密度即可进行······
细胞有空泡原因分析及解决方法:出现细胞空泡情况有1.细胞老化2.培养液错误配制;3.细胞消化时操作不当;4.污染等等,如细胞老化,解决方法,原代细胞使用较低代次进行实验,传代细胞避免传代次数过高···
细胞半换液和全换液操作步骤:第一种方式:细胞全换液;如果是贴壁细胞,可以用全量换液法,直接吸去全部旧培养基,补充足量新鲜完全培养基;第二种方式:细胞半换液;"细胞半换液"又称"细胞半量换液",即弃掉一半旧的培养基,再······
细胞生长缓慢的可能原因有哪些:细胞培养外部因素包括细胞培养基的配方和质量问题,培养条件不理想,污染问题,细胞自身因素包含细胞的健康状态,细胞密度过高或过低,细胞老化现象,细胞特性,当细胞生长出现缓慢的问题时,我······
常用胰腺癌细胞株动物模型及胰腺癌细胞株有哪些:胰腺癌研究中常用的动物模型主要包括化学物质诱导胰腺癌动物模型,基因工程胰腺癌小鼠模型和胰腺癌移植模型,常用的胰腺细胞株MIA-PACA-2人胰腺癌细胞,Capan-2人胰腺癌细······
产品规格:1*10^6
¥3000
产品规格:1*10^6
¥3000
产品规格:1*10^6
¥3000
产品规格:1*10^6
¥3000
上一篇:CFz9 优化配方问世,溶解度提升 3 倍,脑部成像更安全
下一篇:GOLM1 通过 EGFR 信号激活介导的 GOLM1-CSN5 正反馈环路调控肝癌乐伐替尼获得性耐药