常见细胞污染类型如何辨别及预防解决方法
常见细胞污染类型如何辨别及预防解决方法:细胞培养中常见的生物污染类型有7种,分别是细菌污染,支原体污染,原虫污染,黑胶虫污染,真菌污染,病毒污染以及非细胞污染,真菌污染来源,一般是来自实验服,并且具有气候性,多雨······
发布时间:2026-01-04 17:12:14 细胞资源库平台 访问量:286
原代人肝细胞(PHH)是研究肝脏生物学与药物代谢的金标准,但存在体外易脱分化、来源依赖废弃供肝、批次差异大等局限。干细胞衍生肝细胞样细胞(HLCs)为解决这些问题提供了无限来源,但其质量评估缺乏统一标准。由伊朗、瑞典、英国、德国、比利时、美国等多国科研机构研究者组成的国际团队在《Journal of Cellular and Molecular Medicine》发表综述性方案:系统阐述 HLCs 的多维度表征方法(形态、分子、功能、体内移植),以 24 小时培养的 PHH 为参照,明确从光学显微镜观察到 LC-MS/MS 代谢分析的完整流程,解决 HLCs 质量控制不统一的问题,为 HLCs 在药物研发、肝病模型构建及再生医学的应用提供标准化工具。
本研究旨在建立人 PHH 与干细胞衍生 HLCs 表征的标准化 protocol,确保 HLCs 质量可评估、结果可重复。方法:1. 从形态(光学 / 荧光显微镜、TEM)、分子(转录组 qRT-PCR / 单细胞 RNA-seq、蛋白组 WB / 流式)、功能(CYP 酶活性、尿素生成、ICG 摄取)多维度评估 HLCs;2. 以 24 小时培养的 PHH 为对照,验证 HLCs 成熟度;3. 通过小鼠体内移植(肾包膜下、脾脏等部位)验证 HLCs 体内功能。结果:明确 HLCs 成熟标志(如 ALB、CYP3A4 表达,ICG 摄取 / 释放能力),建立 “形态 - 分子 - 功能 - 体内” 四层评估体系。结论:该方案可高效区分 HLCs 质量,为 HLCs 在基础研究与临床转化中的应用提供统一标准。
1.材料准备:PHH 来源于移植废弃人肝,经胶原酶灌注分离;HLCs 由人 iPSC/ESC 经 “定型内胚层→肝祖细胞→成熟 HLCs” 三步诱导(基础培养基为 DMEM/F12+10% FBS,添加 FGF2、BMP4、HGF 等诱导因子);试剂包括肝特异性抗体(ALB、CYP3A4、HNF4α)、CYP 酶底物(7 - 乙氧基试卤灵)、ICG 染料、LC-MS/MS 检测试剂;仪器涵盖激光共聚焦显微镜、透射电镜(TEM)、流式细胞仪、Seahorse 线粒体功能分析仪、LC-MS/MS 系统,实验符合伦理规范。
2.形态与超微结构分析:光学显微镜观察 HLCs 多边形形态(成熟肝细胞特征),荧光显微镜通过免疫染色(ALB 绿色、HNF4α 红色、DAPI 蓝色)定位肝特异性蛋白;TEM 分析亚细胞结构(线粒体、粗面内质网、胆小管样结构),样本经戊二醛固定、环氧树脂包埋、超薄切片(<100nm)后成像,评估 HLCs 超微结构成熟度(如是否形成紧密连接与微绒毛)。
3.分子表征:转录组层面,通过 qRT-PCR 检测肝特异性基因(ALB、CYP3A4、HNF4α)与干细胞标志物(OCT4、SOX2),RNA-seq 分析 HLCs 与 24h PHH 的基因表达差异,单细胞 RNA-seq 解析 HLCs 异质性;蛋白组层面,WB 检测 CYP 酶(CYP1A2、CYP2D6)与转运体(BSEP、MRP2),流式细胞术定量 ALB + 细胞比例,免疫组化验证肝特异性蛋白定位(如 BSEP 在胆小管富集)。
4.功能评估与体内移植:功能 assay 包括 CYP 酶活性(EROD 法检测 CYP1A1 活性,LC-MS/MS 检测 CYP3A4 介导的咪达唑仑代谢)、尿素生成(比色法检测培养基尿素浓度)、ICG 摄取 / 释放(30 分钟摄取、2 小时释放,显微镜观察)、LDL 摄取(DiI 标记 LDL,荧光成像);体内移植将 HLCs(1×10⁶细胞 / 只)通过肾包膜下注射移植到 Fah⁻/⁻肝衰竭小鼠,移植后 1-4 周检测小鼠血清人 ALB 水平,免疫组化(WT1 染色)验证 HLCs 存活。

图1:HLCs 分化的显微镜成像
该图展示人 iPSC 分化为 HLCs 的关键阶段:上方为相差显微镜图像,分化 0 天为 iPSC(圆形集落),7 天为定型内胚层(梭形),14 天为肝祖细胞(上皮样),21 天为成熟 HLCs(多边形,含颗粒状胞质);下方为对应阶段的免疫荧光染色,iPSC 表达 SOX2(红色),定型内胚层表达 SOX17(绿色),肝祖细胞表达 HNF4α(红色)与 AFP(绿色),成熟 HLCs 表达 ALB(绿色)与 HNF4α(红色),DAPI(蓝色)标记细胞核。该图直观呈现 HLCs 分化过程中的形态与标志物变化,为分化阶段判断提供依据。

图2:HLCs 的 TEM 超微结构
该图为 21 天 3D 培养 HLCs 的 TEM 图像(比例尺 1μm),从上到下依次标注关键结构:细胞核(N)及核仁(n),胞质内丰富的线粒体(M)、高尔基体(G)、粗面内质网(箭头)、糖原颗粒(GR),细胞间形成紧密连接(TJ)、缝隙连接(GJ)与黏附连接(FA),细胞表面有微绒毛(MV),底部可见胆小管样结构(BLC)。这些结构与成年肝细胞高度相似,证实 HLCs 具备成熟肝细胞的超微结构基础,可支持代谢与胆汁转运功能。

图3:肝细胞代谢通路示意图
该图从上到下展示肝脏解毒的三阶段通路:第一阶段(I 相代谢)标注 CYP450 酶家族(如 CYP1A1)催化氧化 / 还原反应,以 “7 - 乙氧基试卤灵→试卤灵” 为例;第二阶段(II 相代谢)标注 UGT、SULT 等酶介导葡萄糖醛酸化 / 硫酸化反应,增强底物水溶性;第三阶段(III 相代谢)标注 ABC 转运体(如 BSEP、MRP2)将代谢产物泵入胆汁;右侧补充核受体(AHR、PXR)对 CYP 酶的转录调控作用。该图明确 HLCs 功能评估的核心靶点,为 CYP 酶活性、转运体功能检测提供理论框架。

图4:CYP1A1 激活与 EROD assay 原理
该图上半部分为 AHR 受体激活机制:多环芳烃(PAHs)结合胞质 AHR,AHR 与 ARNT 形成复合物后入核,结合 AHRE 元件启动 CYP1A1 转录;下半部分为 EROD assay 流程:CYP1A1 催化 7 - 乙氧基试卤灵(7-ER,无色)脱乙基生成试卤灵(红色荧光),通过荧光强度定量 CYP1A1 活性,标注反应底物、产物及检测仪器(荧光分光光度计)。该图阐明 CYP 酶活性检测的分子机制,为 HLCs 代谢功能评估提供标准化方法。

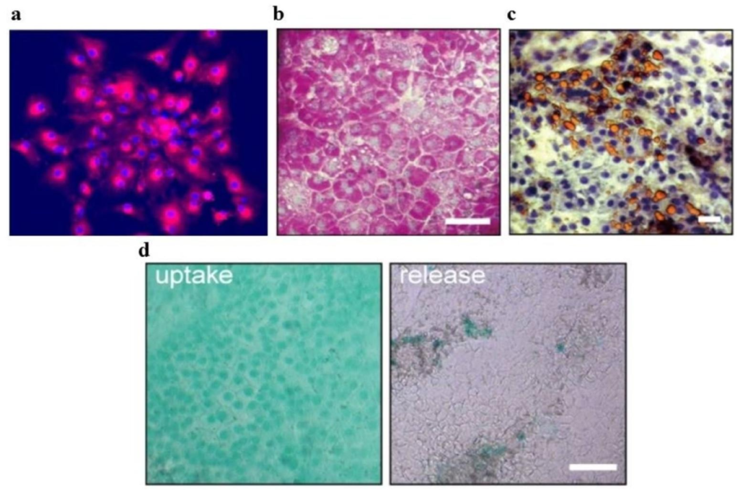
图5:HLCs 功能 assay 结果
该图按 “从上到下” 顺序展示四项关键功能检测:第一行 a 图为 DiI 标记 LDL 摄取(红色荧光),DAPI(蓝色),200× 放大,可见 HLCs 胞质内红色颗粒;第二行 b 图为 PAS 染色,HLCs 胞质内紫红色糖原颗粒;第三行 c 图为 ORO 染色,HLCs 内红色脂质滴;第四行 d 图左侧为 ICG 摄取(绿色胞质),右侧为 ICG 释放(绿色消失)。四项 assay 均在分化 45 天的肝胆类器官中检测,比例尺 50μm,验证 HLCs 具备成熟肝细胞的核心代谢功能。

图6:HLCs 小鼠移植路线示意图
该图从上到下依次标注 HLCs 在小鼠体内的六种移植部位及特点:1. 肾包膜下(操作简单,便于术后观察细胞存活);2. 脾脏(通过门静脉引流至肝脏,利于肝内定植);3. 腹腔肠系膜(血管丰富,支持大量细胞存活);4. 皮下(临床相关移植部位,可容纳规模化培养的 HLCs);5. 大网膜(含免疫调节细胞,减少移植排斥);6. 颅骨窗(搭配活体成像,实时观察细胞 engraftment 动态);每个部位右侧标注适配的 HLCs 来源(iPSC/ESC/ 成人干细胞衍生)。该图为 HLCs 体内功能验证提供部位选择依据,指导不同研究目的的移植方案设计。
本研究建立的人肝细胞表征方案具备多维度覆盖、对照明确、可操作性强及临床导向四大核心价值,从形态(TEM 超微结构)、分子(转录组 / 蛋白组)、功能(CYP 活性、ICG 转运)到体内(小鼠移植)形成四层评估体系,以 24 小时培养的 PHH 为 “金标准参照” 避免 HLCs 成熟度误判,同时提供具体试剂与仪器参数便于不同实验室重复,体内移植部位还涵盖临床相关的皮下、大网膜以支撑 HLCs 临床转化;该方案填补了 HLCs 标准化表征的缺口,可推动 HLCs 在药物肝毒性筛选(如 CYP 介导的药物相互作用)、遗传性肝病模型(如 α1 - 抗胰蛋白酶缺乏症)、再生医学(如肝衰竭细胞治疗)中的应用,为肝脏研究提供统一技术框架。
常见细胞污染类型如何辨别及预防解决方法:细胞培养中常见的生物污染类型有7种,分别是细菌污染,支原体污染,原虫污染,黑胶虫污染,真菌污染,病毒污染以及非细胞污染,真菌污染来源,一般是来自实验服,并且具有气候性,多雨······
细胞聚团的原因分析及如何避免:培养物中细胞可能聚集的一些原因包括:1.过度消化、2.环境压力、3.组织分解、4.过度生长、5.污染等;如何避免聚团细胞的生成;首先确认当前细胞生长密度及状态,80%左右的生长密度即可进行······
细胞有空泡原因分析及解决方法:出现细胞空泡情况有1.细胞老化2.培养液错误配制;3.细胞消化时操作不当;4.污染等等,如细胞老化,解决方法,原代细胞使用较低代次进行实验,传代细胞避免传代次数过高···
细胞半换液和全换液操作步骤:第一种方式:细胞全换液;如果是贴壁细胞,可以用全量换液法,直接吸去全部旧培养基,补充足量新鲜完全培养基;第二种方式:细胞半换液;"细胞半换液"又称"细胞半量换液",即弃掉一半旧的培养基,再······
细胞生长缓慢的可能原因有哪些:细胞培养外部因素包括细胞培养基的配方和质量问题,培养条件不理想,污染问题,细胞自身因素包含细胞的健康状态,细胞密度过高或过低,细胞老化现象,细胞特性,当细胞生长出现缓慢的问题时,我······
常用胰腺癌细胞株动物模型及胰腺癌细胞株有哪些:胰腺癌研究中常用的动物模型主要包括化学物质诱导胰腺癌动物模型,基因工程胰腺癌小鼠模型和胰腺癌移植模型,常用的胰腺细胞株MIA-PACA-2人胰腺癌细胞,Capan-2人胰腺癌细······
产品规格:1*10^6
¥3000
产品规格:1*10^6
¥3000
产品规格:1*10^6
¥3000
产品规格:1*10^6
¥3000
下一篇:ActRII 或 BMPR 配体抑制骨骼肌成肌细胞分化,且 BMPs 促进小鼠骨骼肌异位骨化