常见细胞污染类型如何辨别及预防解决方法
常见细胞污染类型如何辨别及预防解决方法:细胞培养中常见的生物污染类型有7种,分别是细菌污染,支原体污染,原虫污染,黑胶虫污染,真菌污染,病毒污染以及非细胞污染,真菌污染来源,一般是来自实验服,并且具有气候性,多雨······
发布时间:2025-11-10 09:02:20 细胞资源库平台 访问量:266
为应对消化道肿瘤在临床治疗中面临的高侵袭性、易转移与化疗耐药等共同挑战,推动更具针对性的基础研究与药物开发,建立并系统表征了一系列源自原发肿瘤的细胞系。该系列模型涵盖多种高发及罕见癌种,包括胰腺导管腺癌(PDAC-X1, PDAC-X2, PDAC-X3)、肝细胞癌(Hep-X1)、壶腹癌(DPC-X1)、肝内胆管癌(ICC-X1, ICC-X2, ICC-X3)、胆囊癌(GBC-X1)以及联合肝细胞-胆管癌(CHC-X1)。这些细胞系不仅在体外表现出稳定的增殖能力,更能在体内高效成瘤,其病理特征、分子表型(如特定基因突变)以及组织学结构均与临床原发肿瘤高度相似,确保了模型优异的临床相关性。
作为宝贵的临床前研究工具,该系列细胞系为深入探索肿瘤发生发展机制、侵袭转移规律、耐药分子基础提供了核心平台。同时,它们也是筛选抗癌药物、验证新型疗法、以及开展个体化精准治疗研究的理想实验模型。本系列细胞系的成功构建,填补了特定癌种(如混合型壶腹癌)模型的空白,为全面揭示中国人消化道肿瘤的生物学特性、研发新的诊断与治疗策略奠定了坚实的资源基础。
英文标题:A novel multidrug-resistant cell line from a Chinese patient with pancreatic ductal adenocarcinoma
中文标题:源自中国患者的新型多药耐药胰腺导管腺癌(PDAC)细胞系 PDAC-X2 的建立与表征
发表期刊:《Scientific Reports》
影响因子:3.9
作者单位:
1. The Second Clinical Medical School of Lanzhou University, Lanzhou 730000, China
2. The First School of Clinical Medicine, Zhejiang Chinese Medical University, Hangzhou 310006, China
3. Department of Anesthesiology, Lanzhou University Second Hospital, Lanzhou 730000, China
作者信息:
Huan Tang, Xin Miao, Cheng Yu, Changpeng Chai, Yuanhui Su, Lu Li, Jianfeng Yi, Zhenzhen Ye, Long Miao, Zhengfeng Wang, Hui Zhang*, Hao Xu*, Wence Zhou
胰腺导管腺癌(PDAC)是全球恶性程度最高的肿瘤之一,5 年生存率仅 5%-10%,2030 年或将成为第二大癌症致死原因。手术是唯一可能治愈的手段,但多数患者确诊时已达晚期,化疗(吉西他滨、奥沙利铂、紫杉醇等)是主要治疗方案,却因肿瘤异质性和微环境复杂易产生耐药,尤其是多药耐药严重限制疗效。目前常用 PDAC 细胞系(如 MIA PaCa-2、PANC-1)多源自西方人群,而 PDAC 的遗传特征和耐药机制存在种族差异,缺乏中国人群来源的细胞系成为研究瓶颈。本研究从中国 PDAC 患者原发灶建立新型细胞系 PDAC-X2,系统表征其生物学特性、遗传背景及多药耐药特征,为中国人群 PDAC 的耐药机制研究和新药研发提供理想模型。
细胞系建立与纯化:
组织来源:64 岁中国女性 PDAC 患者(胰腺尾癌,中低分化,未接受术前放化疗)的手术切除肿瘤组织;
原代培养:组织经胶原酶 Ⅱ 和分散酶消化,RPMI-1640+10% FBS 培养基培养,机械刮除法去除成纤维细胞,传代至 P3 后冻存,稳定传代 1 年建立 PDAC-X2。
细胞鉴定:
STR 分型:对比 PDAC-X2(P10)与原发肿瘤组织的短串联重复序列,验证同源性;
生长曲线与倍增时间:CCK-8 法检测 P20 细胞 4 天增殖情况,公式计算倍增时间;
核型分析:P30 细胞经秋水仙素处理,Giemsa 染色后分析染色体数目与形态;
电镜观察:扫描电镜(SEM)观察 P31 细胞表面结构,透射电镜(TEM)观察胞内细胞器。
功能实验:
药敏试验:CCK-8 法检测 PDAC-X2(P40、P70)及对照细胞(PANC-1、BxPC-3)对吉西他滨、奥沙利铂、5 - 氟尿嘧啶、紫杉醇的 IC50;
移植瘤实验:NXG 小鼠右侧肩背接种 P40 细胞(1×10⁶/ 只),4 周后观察成瘤率及转移情况;
免疫组化:检测 PDAC-X2 细胞、移植瘤及原发肿瘤中 CK7、CK19、Ki-67、E - 钙粘蛋白、波形蛋白(Vimentin)、CEA、CA19-9 的表达。
伦理与动物实验:
伦理批准:兰州大学第二医院伦理委员会(2023A-381)及动物伦理委员会(D2023-318)批准;
动物饲养:SPF 级 NXG 小鼠(5-6 周龄)适应环境后实验, euthanasia 采用过量戊巴比妥钠静脉注射。

图1:患者临床数据与 PDAC-X2 细胞形态
图1 呈现细胞系来源背景与基础形态:
①术前 CT 显示胰腺尾肿瘤侵犯脾动静脉(图 1A-B);
②术后标本为 5.5×2cm 灰白质硬结节(图 1C-D);
③光学显微镜下,PDAC-X2(P37)呈贴壁生长,典型上皮细胞形态,细胞大小不均,可见多核巨细胞和大核细胞(恶性特征),冻存复苏后形态稳定(图 1E-F)。

图2:PDAC-X2 的 STR 分型、生长曲线与核型
图2 验证细胞系同源性与遗传特征:
①STR 分型显示,PDAC-X2 与原发肿瘤的 16 个位点完全匹配,似然比(LR)=3.153×10³¹,且未匹配 ExPASy 数据库中任何已知细胞系,确认为新型细胞系(图 2A);
②生长曲线显示 P20 细胞增殖速率中等,倍增时间约 69h(图 2B);
③核型分析为复杂多倍体:超二倍体占 39%、超四倍体占 44%、亚七倍体占 17%,代表性核型为 93, XXXX der (5) der (7) der (9)(图 2C),提示高遗传不稳定性。

图3:PDAC-X2 的超微结构(SEM 与 TEM)
图 3 揭示细胞精细结构:
①SEM 显示细胞大小异质,表面微绒毛少,可见丝状伪足(利于侵袭,图 3A-B);
②TEM 显示细胞核增大、核膜皱缩,细胞器减少,线粒体显著肿胀空泡化( cristae 减少),高尔基体和溶酶体增多(代谢活跃,图 3C-D),符合恶性肿瘤细胞的超微特征。

图4:PDAC-X2 的多药耐药特征
图4 对比药敏试验结果:PDAC-X2(P40、P70)对 4 种化疗药均耐药:①奥沙利铂(P40 IC50=8.56μmol/L,P70=15.62μmol/L);②5 - 氟尿嘧啶(P40=130.3μmol/L,P70=214.1μmol/L);③吉西他滨(P40=10.89μmol/L,P70=12.06μmol/L);④紫杉醇(P40=2.498μmol/L,P70 未显著变化)。对照细胞中,PANC-1 对 3 药耐药仅对 5 - 氟尿嘧啶敏感,BxPC-3 对 3 药敏感仅对吉西他滨耐药,证实 PDAC-X2 为固有多药耐药细胞系(图 4A-D)。

图5:PDAC-X2 的体内成瘤性
图5 验证移植瘤形成能力:
①3 只 NXG 小鼠接种 P40 细胞后 4 周内均形成皮下肿瘤,成瘤率 100%,肿瘤边界清晰(图 5A-C);
②解剖未见肝、肺转移灶(图 5D),提示 PDAC-X2 具有体内成瘤能力但短期无远处转移,符合原发灶生物学特性。

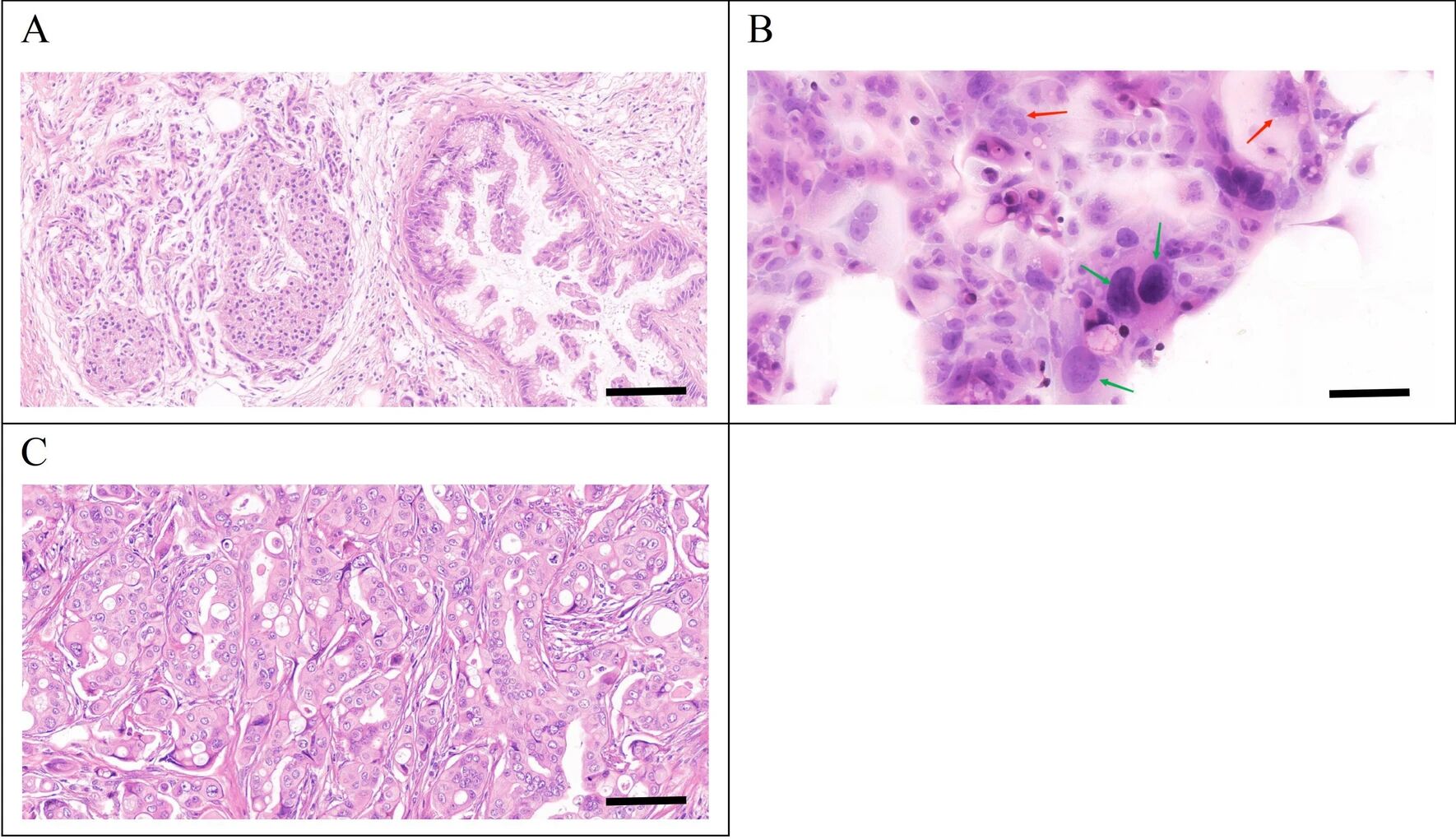
图6:PDAC-X2 及移植瘤的 H&E 染色
图6 对比组织病理学特征:
①原发肿瘤呈中低分化,腺体结构不规则,间质丰富(图 6A);
②PDAC-X2 细胞大小不均、核大核仁明显,可见多核细胞(图 6B);
③移植瘤位于皮下脂肪层,局部侵犯骨骼肌,细胞呈巢状 / 腺管状排列,与原发肿瘤组织学形态高度一致(图 6C),证实细胞系保留原发肿瘤的病理特征。

图7:PDAC-X2 的免疫组化特征
图7 检测标志物表达:PDAC-X2 细胞、移植瘤及原发肿瘤均呈:
①CK7(上皮标志物)、CK19(胆管 / 胰腺上皮标志物)、E - 钙粘蛋白(上皮连接蛋白)、Vimentin(间质标志物)阳性;
②CEA、CA19-9(PDAC 肿瘤标志物)弱阳;
③Ki-67 阳性率 40%(增殖活跃),表明 PDAC-X2 保留 PDAC 的典型免疫表型,且兼具上皮 - 间质转化(EMT)特征(Vimentin 阳性),可能与多药耐药相关(图 7A1-C7)。
本研究成功从中国中低分化胰腺尾癌患者原发灶建立新型 PDAC 细胞系 PDAC-X2,其核心特征包括:
①遗传同源性:STR 分型与原发肿瘤 100% 匹配,为中国人群特有细胞系;
②生物学特性:上皮样形态,倍增时间 69h,复杂多倍体核型(超四倍体为主),超微结构符合恶性肿瘤特征;
③功能特征:对吉西他滨、奥沙利铂等 4 种化疗药固有耐药,NXG 小鼠成瘤率 100%,移植瘤病理与原发灶一致;
④分子标志物:表达 CK7、CK19 等上皮标志物,Vimentin 阳性提示 EMT 特征,Ki-67 阳性率 40% 表明增殖活跃。PDAC-X2 填补了中国人群 PDAC 细胞系的空白,为研究中国患者 PDAC 的多药耐药机制(如 EMT、遗传不稳定性)及针对性新药研发提供了理想的体内外模型。
常见细胞污染类型如何辨别及预防解决方法:细胞培养中常见的生物污染类型有7种,分别是细菌污染,支原体污染,原虫污染,黑胶虫污染,真菌污染,病毒污染以及非细胞污染,真菌污染来源,一般是来自实验服,并且具有气候性,多雨······
细胞聚团的原因分析及如何避免:培养物中细胞可能聚集的一些原因包括:1.过度消化、2.环境压力、3.组织分解、4.过度生长、5.污染等;如何避免聚团细胞的生成;首先确认当前细胞生长密度及状态,80%左右的生长密度即可进行······
细胞有空泡原因分析及解决方法:出现细胞空泡情况有1.细胞老化2.培养液错误配制;3.细胞消化时操作不当;4.污染等等,如细胞老化,解决方法,原代细胞使用较低代次进行实验,传代细胞避免传代次数过高···
细胞半换液和全换液操作步骤:第一种方式:细胞全换液;如果是贴壁细胞,可以用全量换液法,直接吸去全部旧培养基,补充足量新鲜完全培养基;第二种方式:细胞半换液;"细胞半换液"又称"细胞半量换液",即弃掉一半旧的培养基,再······
细胞生长缓慢的可能原因有哪些:细胞培养外部因素包括细胞培养基的配方和质量问题,培养条件不理想,污染问题,细胞自身因素包含细胞的健康状态,细胞密度过高或过低,细胞老化现象,细胞特性,当细胞生长出现缓慢的问题时,我······
常用胰腺癌细胞株动物模型及胰腺癌细胞株有哪些:胰腺癌研究中常用的动物模型主要包括化学物质诱导胰腺癌动物模型,基因工程胰腺癌小鼠模型和胰腺癌移植模型,常用的胰腺细胞株MIA-PACA-2人胰腺癌细胞,Capan-2人胰腺癌细······
产品规格:1*10^6
¥3000
产品规格:1*10^6
¥3000
产品规格:1*10^6
¥3000
产品规格:1*10^6
¥3000
上一篇:Smad2/3 介导转化生长因子 β(TGF-β)信号传导的多种模式