常见细胞污染类型如何辨别及预防解决方法
常见细胞污染类型如何辨别及预防解决方法:细胞培养中常见的生物污染类型有7种,分别是细菌污染,支原体污染,原虫污染,黑胶虫污染,真菌污染,病毒污染以及非细胞污染,真菌污染来源,一般是来自实验服,并且具有气候性,多雨······
发布时间:2026-04-03 08:58:52 细胞资源库平台 访问量:97
荧光素酶报告基因系统是一种基于荧光素酶催化底物氧化反应产生生物发光的检测技术,广泛应用于细胞生物学研究。其中,萤火虫荧光素酶(firefly luciferase, Fluc)因其高灵敏度、宽线性检测范围(约7~8个数量级)以及较短的半衰期(在哺乳动物细胞中约为3小时,在植物细胞中约为3.5小时)而成为最常用的报告基因。其发光信号强度在酶浓度为10⁻¹⁶ mol/L至10⁻⁸ mol/L的范围内与酶活性呈线性关系,并且在理想条件下可检测到低至10⁻²⁰ mol/L的荧光素酶活性。此外,荧光素酶报告基因系统具有非放射性、检测快速、灵敏度高(比氯霉素乙酰转移酶CAT高100倍)等优点,特别适用于高通量筛选和活细胞检测。通过将荧光素酶报告基因载体转染至宿主细胞后,可利用荧光素酶检测系统灵敏且便捷地监测基因表达水平,已成为细胞生物学研究中的重要工具。
英文标题:Lighting up PNETs: Creating Murine Models with a Novel Bioluminescent Cell Line
中文标题:点亮胰腺神经内分泌肿瘤(PNETs):利用新型双标记细胞系构建小鼠模型
发表期刊:《Annals of Surgical Oncology》
影响因子:3.5
作者单位:
1.Department of Surgery, Cooper University Health Care, Camden, NJ, USA
2.Department of Pathology, Cooper University Health Care, Camden, NJ, USA
3.Department of Surgery, Rowan University School of Medicine, Camden, NJ, USA
4.Camden Cancer Research Center, Camden, NJ, USA
5.MD Anderson Cancer Center at Cooper, Camden, NJ, USA
作者信息:
第一作者:Matthew C. Moccia、Rachel Nation
通讯作者:Tao Gao(邮箱:gao-tao@cooperhealth.edu)、Young Ki Hong(邮箱:hong-young@cooperhealth.edu)
胰腺神经内分泌肿瘤(PNETs)是一种罕见的恶性肿瘤,发病率约为每 10 万人 0.32 例,其发病机制涉及复杂的分子信号通路失调,具有显著的生物学异质性。尽管对 PNETs 分子机制的认识不断深入,但晚期患者的治疗选择仍然有限,化疗和靶向治疗效果不佳,缺乏有效的治疗策略。临床前模型是评估新型治疗药物疗效的关键工具,但现有模型存在诸多不足:PNET 特异性细胞系(尤其是小鼠来源细胞系)稀缺,难以构建同源移植模型研究肿瘤 - 免疫相互作用;肿瘤异质性高,难以实时监测肿瘤进展和单个细胞群体的行为;皮下、肾包膜等常见移植模型无法很好地模拟胰腺原位微环境,临床相关性有限。因此,本研究旨在开发一种稳定表达荧光素酶和绿色荧光蛋白的双标记 STC-1 细胞系,构建可实时追踪的 PNET 小鼠模型,并比较不同移植途径的模型效果,为 PNETs 的生物学研究和新型治疗策略评估提供更可靠的工具。
本研究首先构建双标记 STC-1 细胞系:将表达萤火虫荧光素酶(F-Luc)、病毒 2A 连接子和增强型绿色荧光蛋白(EGFP)融合肽的慢病毒颗粒感染小鼠肠内分泌肿瘤来源的 STC-1 细胞,经嘌呤霉素筛选和荧光激活细胞分选(FACS)纯化,获得稳定共表达 F-Luc 和 EGFP 的细胞系。随后将 1×10⁶个双标记 STC-1 细胞与 Matrigel 混合,通过三种途径植入免疫缺陷 Nu/J 小鼠体内:皮下(SubQ)、肾包膜下(RC)和胰腺原位(OP),每组 4 只小鼠,另设胰腺注射 Matrigel+PBS 的对照组。实验期间每周通过活体生物发光成像系统(IVIS)监测肿瘤生长,同时记录小鼠体重、行为和活动状态;6 周后处死小鼠,收集肿瘤组织和远端器官,进行苏木精 - 伊红(H&E)染色、免疫组织化学(IHC)和共免疫荧光分析,检测 Ki-67、突触素、嗜铬粒蛋白 A 等 PNET 特异性标志物的表达,通过 ImageJ 软件量化 IHC 染色密度,采用 GraphPad Prism 10 软件进行统计分析,ANOVA 检验比较组间差异,p<0.05 为差异显著。

图1:EGFP 转染效率及体内肿瘤成像表征
该图验证了双标记 STC-1 细胞系的构建效果:左图的流式细胞分析显示,对照组 EGFP 阳性细胞比例仅为 6.54%,而转染组 EGFP 阳性细胞比例达 46.39%,且细胞存活率 > 95%,证实转染成功;右图的相差显微镜和荧光显微镜图像显示,转染后的 STC-1 细胞呈现强烈的绿色荧光,对照组无荧光信号,且转染后细胞形态和生长特性无显著变化,表明基因转染未对细胞生物学特性造成不利影响,为后续动物实验奠定了基础。

图2:三种移植模型的肿瘤生长和小鼠体重动态变化
该图对比了不同移植途径的模型生长情况:A 图显示,6 周实验期间,三组小鼠均出现体重下降,其中 RC 组和 OP 组体重下降幅度显著大于 SubQ 组,OP 组从第 2 周开始体重显著降低,提示 OP 模型的肿瘤负荷对小鼠生理影响更显著;B 图的生物发光成像显示,6 周时 SubQ、RC、OP 三组均检测到特异性发光信号,对照组无信号,且 OP 组有 1 只小鼠出现转移灶(白色箭头标注);C 图的定量分析显示,OP 组的生物发光强度显著高于 SubQ 组;D-E 图的肿瘤大小测量结果显示,SubQ 组和 RC 组肿瘤平均直径分别为 5.78 mm 和 6.23 mm,OP 组肿瘤平均直径达 11.33 mm,显著大于前两组,证实 OP 模型的肿瘤生长更迅速、侵袭性更强,与生物发光成像结果一致。

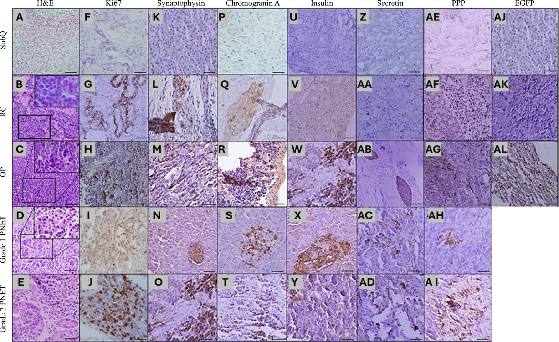
图3:三种移植模型的组织学和免疫组织化学分析
该图评估了不同模型的 PNET 特征:A-E 图的 H&E 染色显示,RC 组和 OP 组肿瘤呈现 1 级人类 PNET 的典型形态特征,SubQ 组缺乏关键 PNET 形态;F-J 图的 Ki-67 染色显示,OP 组 Ki-67 表达显著高于 SubQ 组,且与邻近正常组织差异显著,符合 1 级 PNET 的增殖特征;K-M、P-R、U-W 等图的 IHC 结果显示,OP 组的突触素、嗜铬粒蛋白 A、胰岛素、胰多肽等 PNET 特异性标志物表达显著高于 SubQ 组和 RC 组,与人类 1 级、2 级 PNET 的标志物表达特征一致;AJ-AL 图的 EGFP 染色显示,OP 组肿瘤组织中 EGFP 阳性细胞密度显著高于邻近正常组织和 SubQ 组,证实 STC-1 细胞在胰腺原位环境中更易成功植入和增殖。

图4:三种移植模型的 IHC 标志物密度比较
该图量化了不同模型的标志物表达差异: dot 图分析显示,OP 组的 Ki-67(增殖标志物)、突触素、嗜铬粒蛋白 A、胰岛素、胰多肽(神经内分泌标志物)及 EGFP(移植细胞标志物)的 IHC 染色密度均显著高于 SubQ 组;RC 组的部分标志物(如突触素、胰岛素)表达高于 SubQ 组,但低于 OP 组;仅 OP 组的各标志物表达与邻近正常组织存在显著差异,进一步证实胰腺原位模型更能模拟人类 PNET 的分子特征。

图5:PNET 模型中神经内分泌标志物的共免疫荧光分析
该图通过共免疫荧光染色追踪移植细胞的分化:图像显示,神经内分泌标志物(红色)、EGFP(绿色)和 DAPI(蓝色)的共定位情况,黄色和白色区域表示显著共定位;OP 组中 EGFP 阳性的 STC-1 细胞与突触素、嗜铬粒蛋白 A、分泌素等神经内分泌标志物的共定位程度显著高于 SubQ 组和 RC 组,表明胰腺原位微环境更有利于 STC-1 细胞向 PNET 表型分化,而胰岛素与 EGFP 的共定位程度较低,提示胰岛素可能并非 STC-1 来源肿瘤的主要功能表型。

图6:双标记 STC-1 细胞的谱系追踪分析
该图量化了 EGFP 阳性细胞与 PNET 标志物的共表达比例:结果显示,OP 组中 EGFP 阳性细胞与突触素、嗜铬粒蛋白 A、分泌素、胰多肽的共表达比例显著高于 SubQ 组;RC 组中 EGFP 阳性细胞与嗜铬粒蛋白 A、胰岛素的共表达比例高于 SubQ 组,但低于 OP 组;而三组中胰岛素与 EGFP 的共表达比例均较低(不足 10%)。这一结果证实胰腺原位微环境最能支持 STC-1 细胞的神经内分泌分化,进一步验证了 OP 模型的优越性。
本研究成功构建了稳定共表达萤火虫荧光素酶和 EGFP 的双标记 STC-1 细胞系,并通过三种移植途径(皮下、肾包膜下、胰腺原位)构建了 PNET 小鼠模型。实验证实,胰腺原位(OP)模型在肿瘤生长、生物学特征和临床相关性方面表现最优:OP 模型肿瘤生长最迅速,平均直径达 11.33 mm,生物发光信号最强,且部分小鼠出现转移;组织学和 IHC 分析显示,OP 模型最接近人类 1 级 PNET 的形态特征,Ki-67、突触素、嗜铬粒蛋白 A 等 PNET 特异性标志物表达最高,EGFP 阳性细胞植入效率和分化程度最优;而皮下模型缺乏关键 PNET 特征,肾包膜模型标志物表达有限,临床相关性不足。共免疫荧光和谱系追踪分析进一步证实,胰腺原位微环境能有效促进 STC-1 细胞向神经内分泌表型分化。该双标记 PNET 模型可通过生物发光成像实时监测肿瘤进展,通过荧光标记实现细胞谱系追踪,为 PNETs 的生物学机制研究、肿瘤微环境相互作用分析及新型治疗策略评估提供了高特异性、高临床相关性的工具,尤其适用于免疫功能正常的同源移植模型构建,为免疫治疗研究奠定了基础。
常见细胞污染类型如何辨别及预防解决方法:细胞培养中常见的生物污染类型有7种,分别是细菌污染,支原体污染,原虫污染,黑胶虫污染,真菌污染,病毒污染以及非细胞污染,真菌污染来源,一般是来自实验服,并且具有气候性,多雨······
细胞聚团的原因分析及如何避免:培养物中细胞可能聚集的一些原因包括:1.过度消化、2.环境压力、3.组织分解、4.过度生长、5.污染等;如何避免聚团细胞的生成;首先确认当前细胞生长密度及状态,80%左右的生长密度即可进行······
细胞有空泡原因分析及解决方法:出现细胞空泡情况有1.细胞老化2.培养液错误配制;3.细胞消化时操作不当;4.污染等等,如细胞老化,解决方法,原代细胞使用较低代次进行实验,传代细胞避免传代次数过高···
细胞半换液和全换液操作步骤:第一种方式:细胞全换液;如果是贴壁细胞,可以用全量换液法,直接吸去全部旧培养基,补充足量新鲜完全培养基;第二种方式:细胞半换液;"细胞半换液"又称"细胞半量换液",即弃掉一半旧的培养基,再······
细胞生长缓慢的可能原因有哪些:细胞培养外部因素包括细胞培养基的配方和质量问题,培养条件不理想,污染问题,细胞自身因素包含细胞的健康状态,细胞密度过高或过低,细胞老化现象,细胞特性,当细胞生长出现缓慢的问题时,我······
常用胰腺癌细胞株动物模型及胰腺癌细胞株有哪些:胰腺癌研究中常用的动物模型主要包括化学物质诱导胰腺癌动物模型,基因工程胰腺癌小鼠模型和胰腺癌移植模型,常用的胰腺细胞株MIA-PACA-2人胰腺癌细胞,Capan-2人胰腺癌细······
产品规格:1*10^6
¥3000
产品规格:1*10^6
¥3000
产品规格:1*10^6
¥3000
产品规格:1*10^6
¥3000
上一篇:原代人 T 细胞的整合表观遗传与遗传编辑:基于全 RNA CRISPR 平台的 T 细胞工程新策略
下一篇:蛋白酶检测新突破:基于 BRET 的融合底物实现灵敏定量检测!