常见细胞污染类型如何辨别及预防解决方法
常见细胞污染类型如何辨别及预防解决方法:细胞培养中常见的生物污染类型有7种,分别是细菌污染,支原体污染,原虫污染,黑胶虫污染,真菌污染,病毒污染以及非细胞污染,真菌污染来源,一般是来自实验服,并且具有气候性,多雨······
发布时间:2026-02-01 09:00:00 细胞资源库平台 访问量:167
内侧神经节隆起(MGE)是大脑中产生小白蛋白(PV)和生长抑素(SST)阳性皮质中间神经元的关键区域,这些中间神经元通过调控皮质兴奋性维持神经环路平衡,其功能异常与自闭症、癫痫、精神分裂症等多种神经发育疾病密切相关。然而,现有模型(如 2D 培养或泛化的脑类器官)难以稳定生成功能性 PV 中间神经元,尤其是具备快 spike 特性的亚型,严重限制了相关疾病机制研究和细胞治疗探索。本研究通过优化类器官构建方案,建立了特异性模拟 MGE 发育的类器官(MGEOs),实现了 PV 中间神经元的高效生成及其与皮质环路的功能整合,为解决上述瓶颈提供了新工具。
来自美国密歇根大学的团队在《bioRxiv》(2025 年 7 月预印本)发表了题为Robust Production of Parvalbumin Interneurons and FastSpiking Neurons from Human Medial Ganglionic Eminence Organoids的研究。

研究方法:
MGEOs 构建:从人多能干细胞(hPSCs)出发,通过调控 SMAD、Wnt 和 SHH 信号通路(如短期用 XAV939 抑制 Wnt、100 nM SAG 激活 SHH),诱导形成单玫瑰花结结构的 MGE 类器官,经悬浮培养促进成熟;
表征手段:单细胞 RNA 测序(scRNA-seq)验证细胞类型特异性,免疫荧光检测 MGE 标志物(NKX2.1、LHX6)及中间神经元亚型(PV、SST),膜片钳和多电极阵列(MEA)记录电生理活动;
功能整合实验:将 MGEOs 与皮质类器官(SOSR-COs)融合形成组装体,观察中间神经元迁移、突触形成及网络活动。
关键结果:
特异性与细胞类型:MGEOs 高表达 MGE 标志物(LHX6、NKX2.1),几乎无其他脑区标记(如 CGE 的 SP8、 hypothalamus 的 RAX),可生成大量 SST + 和 PV + 中间神经元,其中 PV + 细胞占比达 30%-40%(4 个月后稳定);
功能成熟:PV + 细胞表达快 spike 相关分子(Kv3.1 钾通道、perineuronal 网标志物 WFA),在组装体中形成抑制性突触,MEA 记录显示快 spike 活动及网络同步性;
迁移与整合:MGEOs 来源的中间神经元可快速迁移至皮质类器官,通过 CXCR4/SDF-1 信号调控迁移,与兴奋性神经元形成功能性连接,共同产生复杂网络活动;
转录组匹配:MGEOs 的基因表达谱与人类胎儿 MGE 高度相似,尤其接近妊娠 12-16 周的发育阶段,证实模型的生理相关性。
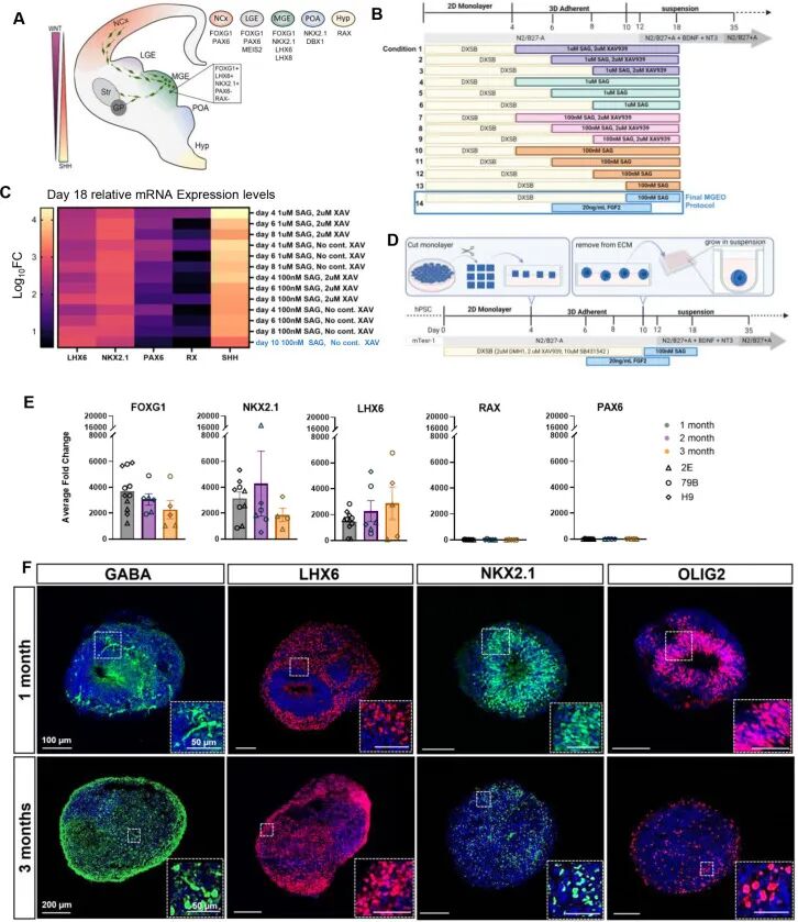
图 1:MGE 特异性类器官(MGEOs)的生成与表征
该图展示 MGEOs 的构建方案及区域特异性验证。(A)示意图显示 MGE 来源中间神经元的迁移路径及关键信号分子(SHH、Wnt)的分布梯度;(B-C)通过优化信号调控(如 100 nM SAG 处理时间),筛选出高表达 LHX6、低表达非 MGE 标记(PAX6、RAX)的最佳方案;(D)最终流程:hPSCs 先形成 2D 单层,经切割后在 3D 基质中自组织为单玫瑰花结结构,再悬浮培养;(E-F)RT-qPCR 和免疫荧光证实,1-3 个月的 MGEOs 持续表达 FOXG1、NKX2.1、LHX6 等 MGE 标志物,无背侧皮质或下丘脑标记,验证区域特异性。

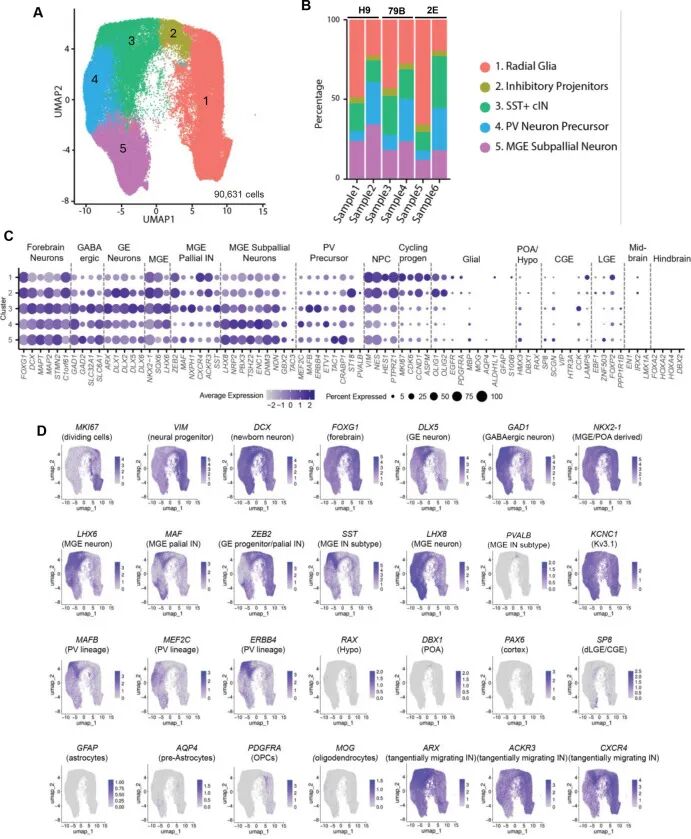
图 2:1 个月 MGEOs 的单细胞 RNA 测序分析
该图揭示 MGEOs 的细胞异质性及 MGE 谱系特征。(A-B)UMAP 聚类显示 90,631 个细胞可分为放射状胶质细胞、抑制性祖细胞、SST + 皮质中间神经元、PV 前体细胞等 5 个集群,且不同 hPSC 系的细胞组成一致;(C-D)标记基因分析证实,细胞高表达 MGE 谱系分子(LHX6、MAF),低表达 CGE(SP8)、LGE(EBF1)及下丘脑(RAX)标记,进一步验证 MGEOs 的特异性。

图 3:MGEOs 生成 MGE 来源细胞类型
该图展示 MGEOs 的细胞分化潜能及功能成熟。(A)RT-qPCR 显示,1-3 个月的 MGEOs 逐步上调 GABA 能标志物(VGAT、SST)及 PV 前体标记(MEF2C);(B-D)免疫荧光证实存在 SST + 神经元、GFAP + 星形胶质细胞及 OLIG2 + 少突胶质细胞;(E-F)PV 表达从 3 个月的 2.2% 升至 4 个月的 32.8% 并稳定维持,提示功能成熟;(G-J)PV + 细胞共表达 MEF2C、Kv3.1 及 perineuronal 网标记 WFA,AAV 标记显示其具有篮状细胞复杂形态,证实快 spike 特性。

图 4:3 个月 MGEOs 的单细胞测序与细胞类型细分
该图解析 MGEOs 的晚期细胞谱系分化。(A-C)UMAP 聚类显示 10 个亚群,包括 SST+/NPY + 皮质定向细胞、CRABP1+PV 前体细胞、纹状体 / GP 定向细胞等,且不同 hPSC 系的细胞比例稳定;(D)标记基因分析显示,PV 前体细胞高表达 MEF2C、MAFB,SST + 细胞则表达 ZEB2、ARX,与体内 MGE 分化模式一致。

图 5:MGEOs 与人类胎儿 MGE 的转录组比对
该图验证模型的生理保真度。(A-B)整合分析显示,3 个月 MGEOs 的细胞集群与人类胎儿 MGE(GW9-18)高度重叠,与非 MGE 区域分离;(C-E)PCA 和 Pearson 相关分析证实,MGEOs 神经元集群与胎儿 MGE 亚群的基因表达相关性显著;(F-G)与其他亚 pallial 类器官相比,MGEOs 的 MGE 标记(如 LHX6、NKX2.1)表达占比更高,非靶向标记更低;(H)MGEOs 的转录组最接近 GW12-16 的胎儿 MGE,匹配体内发育时序。

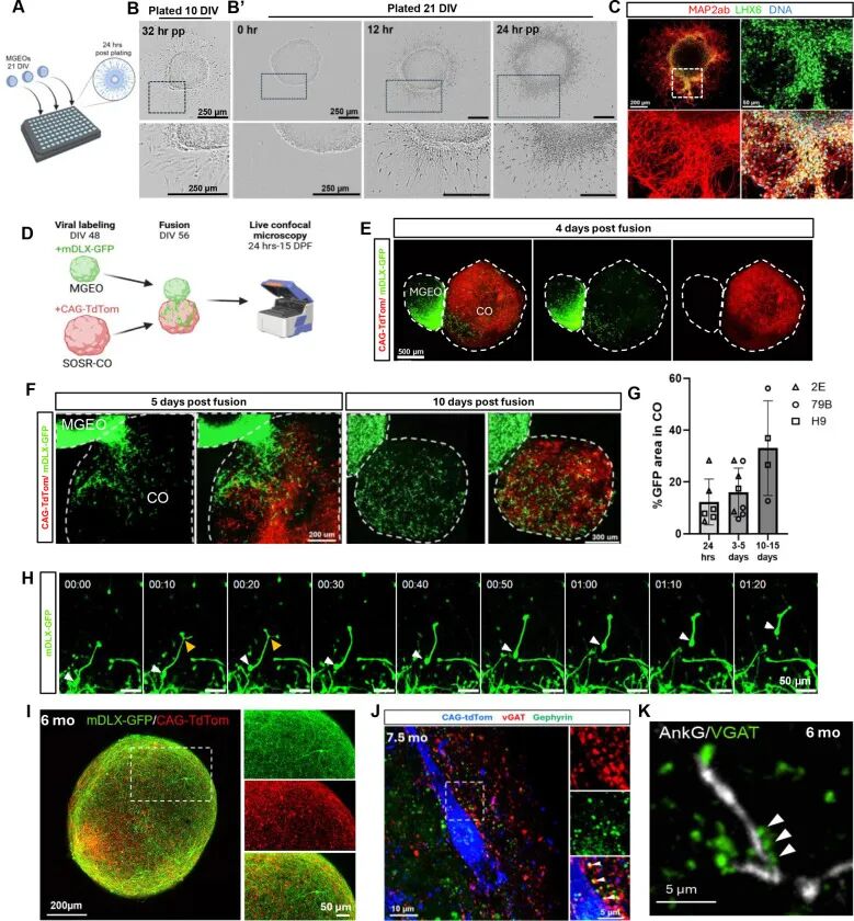
图 6:MGEOs 来源中间神经元的迁移与皮质整合
该图展示中间神经元的迁移能力及突触形成。(A-C)2D 迁移实验显示,21 天的 MGEOs 可快速迁出 LHX6+/MAP2 + 神经元,CXCR4 抑制剂 AMD3100 显著抑制迁移;(D-H)MGEOs 与皮质类器官融合后,mDLX-GFP + 中间神经元在 24 小时内开始迁移,10-15 天广泛分布于皮质区域,迁移过程伴随前沿分支;(I-K)6-9 个月的组装体中,MGEOs 来源细胞与皮质神经元形成 vGAT + 抑制性突触(贴附于 Gephyrin + 位点及轴突起始段),证实结构整合。

图 7:MGEO - 皮质组装体的功能整合与电生理活动
该图证实中间神经元的功能成熟及网络整合。(A-D)膜片钳记录显示,组装体中的 MGEOs 来源神经元可自发或诱发动作电位,与皮质神经元形成兴奋性(sEPSCs)和抑制性(sIPSCs)突触连接;(E-F)MEA 记录捕捉到 3D 网络的单单位放电和爆发活动;(G-J)与皮质类器官组装体相比,MGEO - 皮质组装体的高放电率单位占比更高,且随成熟(140-235 天)网络爆发复杂度增加;(K-N)施加 GABA 受体拮抗剂 bicuculline 后,爆发频率升高,证实抑制性调控作用,且多数单位为快 spike 类型(峰谷时程 < 0.4 ms)。

本研究建立了高效生成 MGE 特异性类器官(MGEOs)的方法,通过精准调控 Wnt 和 SHH 信号,实现了 LHX6 + 细胞的高纯度诱导,可稳定生成大量 SST + 和 PV + 中间神经元(4 个月后 PV 占比达 30%-40%)。MGEOs 的转录组与人类胎儿 MGE 高度匹配,其来源的中间神经元能通过 CXCR4/SDF-1 信号迁移至皮质类器官,形成抑制性突触并参与网络活动,产生快 spike 特性。该模型为研究 PV 中间神经元发育、神经发育疾病建模(如癫痫、自闭症)及细胞治疗提供了可靠工具。局限性包括不同细胞系的成熟时序差异、手动分离步骤限制规模化,未来需优化培养方案以缩短成熟时间,并探索其在个体化治疗中的应用。
常见细胞污染类型如何辨别及预防解决方法:细胞培养中常见的生物污染类型有7种,分别是细菌污染,支原体污染,原虫污染,黑胶虫污染,真菌污染,病毒污染以及非细胞污染,真菌污染来源,一般是来自实验服,并且具有气候性,多雨······
细胞聚团的原因分析及如何避免:培养物中细胞可能聚集的一些原因包括:1.过度消化、2.环境压力、3.组织分解、4.过度生长、5.污染等;如何避免聚团细胞的生成;首先确认当前细胞生长密度及状态,80%左右的生长密度即可进行······
细胞有空泡原因分析及解决方法:出现细胞空泡情况有1.细胞老化2.培养液错误配制;3.细胞消化时操作不当;4.污染等等,如细胞老化,解决方法,原代细胞使用较低代次进行实验,传代细胞避免传代次数过高···
细胞半换液和全换液操作步骤:第一种方式:细胞全换液;如果是贴壁细胞,可以用全量换液法,直接吸去全部旧培养基,补充足量新鲜完全培养基;第二种方式:细胞半换液;"细胞半换液"又称"细胞半量换液",即弃掉一半旧的培养基,再······
细胞生长缓慢的可能原因有哪些:细胞培养外部因素包括细胞培养基的配方和质量问题,培养条件不理想,污染问题,细胞自身因素包含细胞的健康状态,细胞密度过高或过低,细胞老化现象,细胞特性,当细胞生长出现缓慢的问题时,我······
常用胰腺癌细胞株动物模型及胰腺癌细胞株有哪些:胰腺癌研究中常用的动物模型主要包括化学物质诱导胰腺癌动物模型,基因工程胰腺癌小鼠模型和胰腺癌移植模型,常用的胰腺细胞株MIA-PACA-2人胰腺癌细胞,Capan-2人胰腺癌细······
产品规格:1*10^6
¥3000
产品规格:1*10^6
¥3000
产品规格:1*10^6
¥3000
产品规格:1*10^6
¥3000
下一篇:报告基因假阳性预警!查尔酮对 FLuc 的抑制竟依赖 A/B 环取代模式