常见细胞污染类型如何辨别及预防解决方法
常见细胞污染类型如何辨别及预防解决方法:细胞培养中常见的生物污染类型有7种,分别是细菌污染,支原体污染,原虫污染,黑胶虫污染,真菌污染,病毒污染以及非细胞污染,真菌污染来源,一般是来自实验服,并且具有气候性,多雨······
发布时间:2025-12-23 17:22:05 细胞资源库平台 访问量:215
星形胶质细胞是大脑中最丰富的胶质细胞类型,其功能异常与多种神经系统疾病相关,但由于人类胶质生成起始较晚,传统皮质类器官模型中星形胶质细胞的生成滞后且数量不足,限制了对其功能的研究。脑类器官虽能模拟人类脑发育,但现有模型难以高效生成星形胶质细胞,且缺乏体内微环境下的成熟与功能验证。本研究通过构建胶质细胞富集的皮质类器官模型,加速星形胶质细胞生成,并结合小鼠脑内移植,探究其形态多样化与功能成熟,为研究人类星形胶质细胞功能提供了新平台。
来自美国索尔克生物研究所(The Salk Institute for Biological Studies)等机构的研究团队在《Nature Biotechnology》期刊发表了题为Morphological diversification and functional maturation of human astrocytes in glia-enriched cortical organoid transplanted in mouse brain的研究。
该研究构建了一种胶质细胞富集的皮质类器官模型,通过在分化早期加入血小板衍生生长因子(PDGF-AA)诱导胶质生成开关,使 8-10 周内星形胶质细胞占比达 25%-31%;将类器官移植到小鼠脑内后,不仅生成多种皮质神经元,还形成具有解剖学特征的人类星形胶质细胞亚型(原浆型、纤维型、层间型等);空间转录组揭示星形胶质细胞的层特异性表达模式,电镜观察显示其与突触紧密关联并形成血管周围足突;通过急性神经炎症模型,发现特定星形胶质细胞亚群可快速激活促炎通路,且 CD38 信号在介导反应性星形胶质细胞的代谢和线粒体应激中起关键作用,该模型为研究人类星形胶质细胞功能及相关疾病提供了可靠工具。
图 1:胶质细胞富集的皮质类器官中星形胶质细胞生成增强
内容:展示类器官分化方案,通过在神经外胚层诱导阶段添加 PDGF-AA 和星形胶质细胞培养基,3 周时胶质发生因子 NFIA 表达显著上调,8 周时星形胶质细胞标志物 GFAP 和 HepaCAM 的表达远高于传统前脑类器官;单细胞核测序(snRNA-seq)显示 10 周类器官中星形胶质细胞占 25%-31%,包含增殖型祖细胞和成熟星形胶质细胞,共表达网络分析识别出细胞黏附(TJP1)和胶质标记(SLC1A3)相关模块;形态分析显示,3-5 个月类器官中星形胶质细胞的分支复杂度、突起数量和长度显著增加,且能摄取谷氨酸,具备功能活性。
总结:验证了胶质细胞富集类器官可高效生成功能成熟的星形胶质细胞。

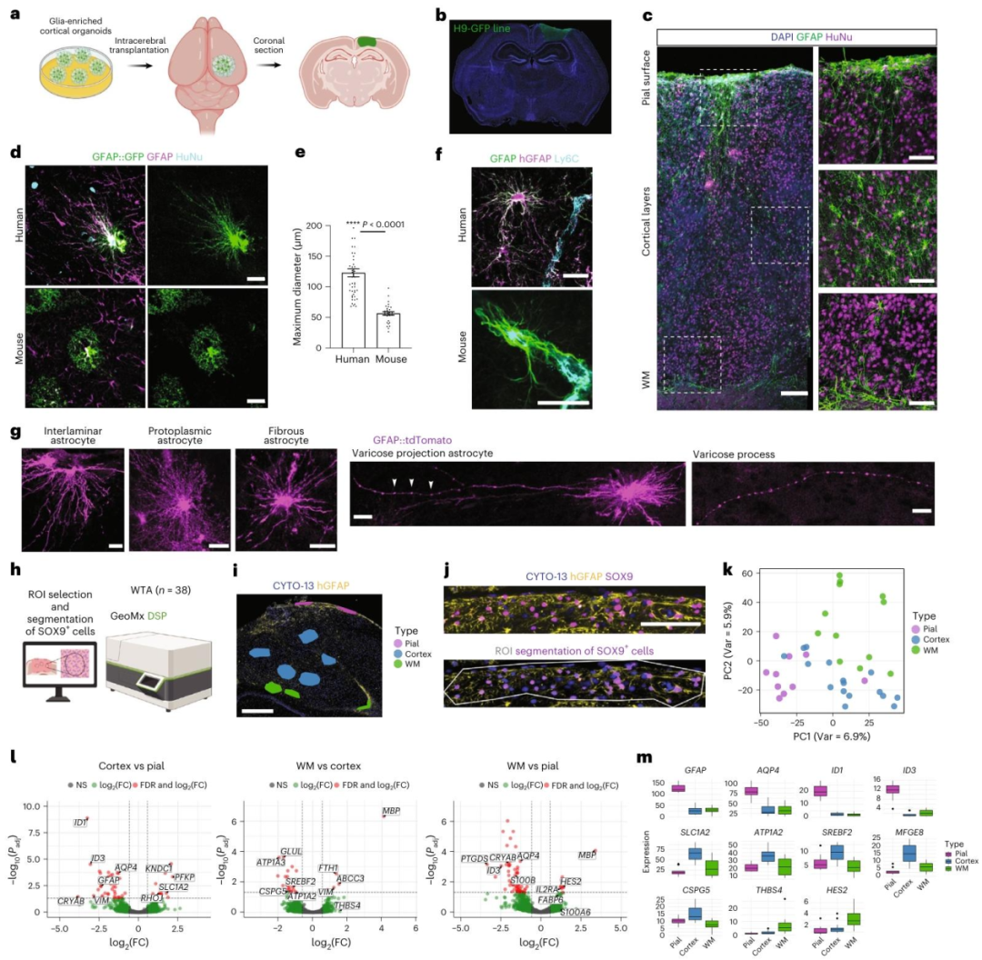
图 2:体内移植后人类星形胶质细胞形成形态学亚型
内容:将 8-10 周类器官移植到小鼠 retrosplenial 皮质,6 个月后移植体中人类星形胶质细胞(hGFAP+)与神经元(NeuN+)均来自类器官,且人类原浆型星形胶质细胞的直径远大于小鼠星形胶质细胞;移植体中观察到多种人类特异性星形胶质细胞亚型:层间型(位于软膜表面,纤维伸入深层)、原浆型(皮质层中高度分支)、纤维型(近白质区,突起较直)及静脉曲张型(突起含明显膨体);空间转录组(GeoMx DSP)显示,软膜区星形胶质细胞高表达 GFAP 和 AQP4,皮质区高表达 SLC1A2(谷氨酸转运体),白质区高表达 THBS4(thrombospondin 4),呈现层特异性分子特征。
总结:揭示体内环境促进人类星形胶质细胞形态多样化及分子异质性。

图 3:人类星形胶质细胞形成血管周围足突
内容:移植体中宿主血管网络深入类器官,星形胶质细胞突起形成血管周围足突,水通道蛋白 AQP4 和钾通道 Kir4.1 在足突处极化表达,而体外类器官中无此特征;电镜显示血管内皮细胞间存在紧密连接,星形胶质细胞突起包裹血管,形成神经血管单元,且可见糖原颗粒和胶质丝,提示代谢活性。
总结:证实体内环境诱导星形胶质细胞形成功能性血管周围足突,参与脑内稳态调节。

图 4:移植类器官中细胞成熟度增强
内容:snRNA-seq 整合分析显示,5-8 个月移植体中细胞的基因表达更接近人类出生后阶段,尤其是上层兴奋性神经元,8 个月移植体中 94.5% 的上层神经元达到出生后状态;星形胶质细胞成熟基因(如 SLC1A2)在移植体中表达显著高于体外类器官,伪时间轨迹分析显示移植体星形胶质细胞更接近分化终点;与传统皮质类器官移植相比,本模型中 75.8% 的星形胶质细胞核对应出生后 > 301 天的分子特征,成熟度更高。
总结:表明移植显著促进类器官中星形胶质细胞和神经元的功能成熟。

图 5:炎症反应中星形胶质细胞的促炎通路激活
内容:向移植体注射 TNFα(促炎细胞因子)后,单细胞测序(scRNA-seq)显示星形胶质细胞亚群(Cluster 2)显著扩张,高表达 CD44、CD38 和 GFAP,激活 NF-κB 和 IFN-γ 通路;该亚群中氧化磷酸化和线粒体呼吸链相关基因下调,提示代谢紊乱。
总结:揭示星形胶质细胞对炎症的异质性反应,特定亚群主导促炎应答。

图 6:CD38 介导炎症诱导的星形胶质细胞应激
内容:体外类器官经 TNFα 处理后,NF-κB 核转位增加,促炎因子 CCL2 上调,且星形胶质细胞的 NAD+/NADH 和 GSH/GSSG 比值下降,提示代谢和氧化应激;CD38(NADase)在反应性星形胶质细胞中高表达,使用 CD38 抑制剂 78c 可逆转 TNFα 诱导的应激,减少线粒体碎片化。
总结:阐明 CD38 通过调节 NAD + 代谢介导反应性星形胶质细胞的应激反应。

本文报道了一种胶质细胞富集的皮质类器官模型,通过诱导胶质生成开关高效生成星形胶质细胞,并结合小鼠脑内移植,实现了人类星形胶质细胞的形态多样化与功能成熟。研究发现,该模型在 8-10 周内可使星形胶质细胞占比达 25%-31%,且移植后能形成层间型、原浆型等人类特异性亚型,呈现层特异性分子特征。移植体中的星形胶质细胞可与宿主血管形成功能性足突,参与神经血管单元构建,且在炎症刺激下表现出异质性应答,CD38 信号调控其代谢和线粒体应激。该模型克服了传统类器官中星形胶质细胞生成不足的局限,为研究人类星形胶质细胞的发育、功能及相关疾病(如神经炎症)提供了可靠工具,也为靶向星形胶质细胞的治疗策略开发奠定了基础。
常见细胞污染类型如何辨别及预防解决方法:细胞培养中常见的生物污染类型有7种,分别是细菌污染,支原体污染,原虫污染,黑胶虫污染,真菌污染,病毒污染以及非细胞污染,真菌污染来源,一般是来自实验服,并且具有气候性,多雨······
细胞聚团的原因分析及如何避免:培养物中细胞可能聚集的一些原因包括:1.过度消化、2.环境压力、3.组织分解、4.过度生长、5.污染等;如何避免聚团细胞的生成;首先确认当前细胞生长密度及状态,80%左右的生长密度即可进行······
细胞有空泡原因分析及解决方法:出现细胞空泡情况有1.细胞老化2.培养液错误配制;3.细胞消化时操作不当;4.污染等等,如细胞老化,解决方法,原代细胞使用较低代次进行实验,传代细胞避免传代次数过高···
细胞半换液和全换液操作步骤:第一种方式:细胞全换液;如果是贴壁细胞,可以用全量换液法,直接吸去全部旧培养基,补充足量新鲜完全培养基;第二种方式:细胞半换液;"细胞半换液"又称"细胞半量换液",即弃掉一半旧的培养基,再······
细胞生长缓慢的可能原因有哪些:细胞培养外部因素包括细胞培养基的配方和质量问题,培养条件不理想,污染问题,细胞自身因素包含细胞的健康状态,细胞密度过高或过低,细胞老化现象,细胞特性,当细胞生长出现缓慢的问题时,我······
常用胰腺癌细胞株动物模型及胰腺癌细胞株有哪些:胰腺癌研究中常用的动物模型主要包括化学物质诱导胰腺癌动物模型,基因工程胰腺癌小鼠模型和胰腺癌移植模型,常用的胰腺细胞株MIA-PACA-2人胰腺癌细胞,Capan-2人胰腺癌细······
产品规格:1*10^6
¥3000
产品规格:1*10^6
¥3000
产品规格:1*10^6
¥3000
产品规格:1*10^6
¥3000
上一篇:rhBMP9 逆转博来霉素诱导的肺纤维化与肺动脉高压