常见细胞污染类型如何辨别及预防解决方法
常见细胞污染类型如何辨别及预防解决方法:细胞培养中常见的生物污染类型有7种,分别是细菌污染,支原体污染,原虫污染,黑胶虫污染,真菌污染,病毒污染以及非细胞污染,真菌污染来源,一般是来自实验服,并且具有气候性,多雨······
发布时间:2025-11-29 09:00:50 细胞资源库平台 访问量:272
检测细胞株广泛应用于药物发现、抗体开发、基因研究和毒性评估等领域。基于D-Luciferase的报告基因细胞株及其荧光素酶检测方法在药物初筛/复筛、表位竞争、药物生物活性检测等多方面展现了广泛的应用潜力。报告基因法已被药典收录,为国家认可的检测方法。报告基因细胞株多用于监测特定的生物过程或信号通路。
HEK293细胞因子报告基因细胞株是以HEK293为工具细胞,采用慢病毒感染的方式构建,不仅能够稳定表达细胞因子受体蛋白,并且能够表达荧光素酶报告基因,是基于转录因子信号通路构建的荧光素酶报告基因细胞系。当细胞因子结合受体蛋白后,细胞因子与受体蛋白相互作用,激活转录因子信号通路,从而激活荧光素酶的表达。荧光信号的强弱即代表信号通路的激活效果,因此可用于相关药物的体外效果评价,筛选抗体以及筛选信号通路的激活剂或抑制剂。
英文标题:Inhibition of EGFR overcomes acquired lenvatinib resistance driven by STAT3-ABCB1 signaling in hepatocellular carcinoma
中文标题:EGFR-STAT3-ABCB1 通路介导肝癌仑伐替尼获得性耐药,厄洛替尼联合治疗可逆转耐药
发表期刊:《Cancer Research》
影响因子:16.6
作者单位:
1. Department of General Surgery, Huashan Hospital & Cancer Metastasis Institute, Fudan University, Shanghai 200040, China.
2. Institutes of Biomedical Sciences, Fudan University, Shanghai 200032, China.
3. Phase I Clinical Trial Center, Fudan University Shanghai Cancer Center, Shanghai 200032, China.
作者信息:
Beiyuan Hu¹,²*, Tiantian Zou¹,²*, Wei Qin¹,²*, Xiaotian Shen¹,²*, Yinghan Su¹,², Jianhua Li¹, Yang Chen³, Ze Zhang¹,², Haoting Sun¹,², Yan Zheng¹,², Chao-Qun Wang¹,², Zhengxin Wang¹, Tian-En Li¹,², Shun Wang¹,², Le Zhu¹,², Xufeng Wang¹,², Yan Fu¹,², Xudong Ren¹,², Qiongzhu Dong¹,²#, Lun-Xiu Qin¹,²#
仑伐替尼是晚期肝癌(HCC)一线靶向药物,通过抑制 VEGFR、FGFR 等多靶点发挥作用,但 60% 以上患者会在 1 年内出现获得性耐药,严重限制临床获益。既往研究表明,多药耐药转运体(如 ABCB1)介导的药物外排是耐药关键机制,而 EGFR 信号异常激活常参与肿瘤耐药,但二者在仑伐替尼耐药中的关联及调控机制尚未明确。本研究旨在揭示肝癌仑伐替尼耐药的核心通路,开发有效的联合治疗策略。
耐药模型建立:通过逐步提高仑伐替尼浓度(HuH7 从 3μM 至 30μM,PLC/PRF/5 从 20μM 至 60μM),历时 6 个月构建耐药细胞系(HuH7 LR、PLC/PRF/5 LR);通过裸鼠皮下 / 原位移植及 3 代筛选,建立耐药动物模型(Hep1-6 LR)。
机制探究:采用 TMT 蛋白组学、磷酸化 RTK 阵列筛选差异分子;通过 Western blot、qPCR 验证 EGFR-STAT3-ABCB1 通路激活;免疫荧光、邻近连接实验(PLA)检测 EGFR 与 ABCB1 在脂质筏的共定位;胆固醇检测、MβCD(破坏脂质筏)验证脂质筏依赖机制。
功能验证:FITC - 仑伐替尼外排实验检测药物排泄能力;shRNA 沉默 / 过表达 EGFR、STAT3、ABCB1,评估对耐药表型的影响。
联合治疗验证:体外 CCK-8、克隆形成、凋亡实验检测仑伐替尼 + 厄洛替尼(EGFR 抑制剂)的协同效应;体内裸鼠移植瘤模型评估联合用药的抑瘤效果及安全性。
临床验证:收集 9 例仑伐替尼治疗的肝癌患者样本(3 例 PR、3 例 SD、3 例 PD),通过 qPCR、免疫组化验证通路分子表达与耐药的关联。

图1:仑伐替尼耐药细胞与动物模型建立
该图证实模型稳定性:耐药细胞(HuH7 LR、PLC/PRF/5 LR)的仑伐替尼 IC₅₀分别是敏感细胞的 16.76 倍和 2.64 倍,停药 1 个月后耐药表型仍维持(图 1A);体内模型中,耐药组肿瘤对仑伐替尼无响应,体积和重量与对照组无差异,而敏感组肿瘤明显缩小(图 1B-F)。

图2:EGFR-STAT3-ABCB1 通路在耐药模型中激活
该图明确核心通路:蛋白组学和 RTK 阵列显示,耐药细胞中 EGFR 磷酸化水平显著升高(图 2B);Western blot 证实 p-EGFR、p-STAT3、ABCB1 在耐药细胞中高表达(图 2C);过表达 EGFR 可上调 p-STAT3 和 ABCB1,沉默 EGFR 则显著抑制二者表达(图 2D-E);STAT3 抑制剂 Stattic 可下调 ABCB1,且 STAT3 Y705 磷酸化是 ABCB1 表达的关键(图 2F);免疫荧光和 PLA 证实 EGFR 与 ABCB1 在脂质筏共定位(图 2G-I)。

图3:EGFR 以脂质筏依赖方式激活 ABCB1
该图揭示调控机制:耐药细胞胆固醇含量显著升高,脂质筏标志物(CAV1、FLOT1)与 EGFR、ABCB1 的结合增强(图 3F-G、I);脂质筏提取实验显示,耐药细胞脂质筏中 EGFR 和 ABCB1 表达显著高于敏感细胞(图 3K);MβCD 破坏脂质筏后,ABCB1 膜定位和功能显著减弱(图 3L),证实 EGFR 对 ABCB1 的激活依赖脂质筏结构。

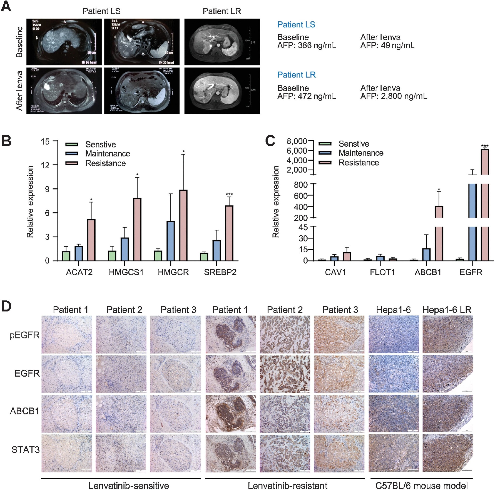
图4:临床样本验证通路激活与耐药关联
该图临床转化价值:PD 患者(耐药)肿瘤组织中 EGFR、ABCB1 mRNA 及胆固醇合成关键酶表达显著高于 PR/SD 患者(敏感)(图 4B-C);免疫组化显示,耐药患者和 Hep1-6 LR 模型中,p-EGFR、EGFR、ABCB1、STAT3 表达均显著升高(图 4D)。

图5:ABCB1 介导仑伐替尼外排导致耐药
该图证实功能核心:耐药细胞的仑伐替尼外排速率显著快于敏感细胞,FITC - 仑伐替尼荧光强度在耐药细胞中快速衰减(图 5C-F);LC-MS 检测显示,耐药细胞上清中仑伐替尼浓度在 6 小时后持续高于敏感细胞(图 5A),证实 ABCB1 通过增强药物外排介导耐药。

图6:仑伐替尼 + 厄洛替尼具有协同抑瘤效应
该图验证联合治疗效果:体外实验中,联合用药使 HuH7 LR 的仑伐替尼 IC₅₀从 53.29μM 降至 1.94μM(低于敏感细胞的 3.18μM),组合指数(CI<1)证实协同效应(图 6E-F);克隆形成和凋亡实验显示,联合组细胞存活减少、凋亡增加(图 6G、 Supplementary Figure S5H-K);体内模型中,联合用药(仑伐替尼 3mg/kg + 厄洛替尼 10mg/kg)显著抑制耐药肿瘤生长,且无明显肝肾功能损伤和体重下降(图 6I-J)。

图7:厄洛替尼通过阻断 EGFR-STAT3-ABCB1 通路抑制药物外排
该图阐明联合机制:Western blot 显示,厄洛替尼可显著下调耐药细胞中 p-EGFR 和 ABCB1 表达,联合用药以 1/3 剂量即可达到单药全剂量的抑制效果(图 7A);免疫荧光证实,联合用药减少 EGFR 与 ABCB1 在脂质筏的共定位(图 7B-E);FITC - 仑伐替尼外排实验显示,厄洛替尼可显著延缓药物排泄,延长细胞内药物滞留时间(图 7F-G)。
本研究首次证实:肝癌细胞通过激活 EGFR-STAT3-ABCB1 通路获得仑伐替尼耐药,其核心机制为 EGFR 在脂质筏依赖下激活 STAT3,进而上调 ABCB1 表达,增强药物外排;临床样本验证该通路激活与患者耐药直接相关。厄洛替尼可双重抑制 EGFR 磷酸化和 ABCB1 功能,与仑伐替尼联合使用时,通过阻断上述通路显著逆转耐药,且在体内外均表现出强效协同效应,安全性良好。该研究揭示了肝癌仑伐替尼耐药的关键机制,为临床耐药患者提供了可转化的联合治疗方案。
常见细胞污染类型如何辨别及预防解决方法:细胞培养中常见的生物污染类型有7种,分别是细菌污染,支原体污染,原虫污染,黑胶虫污染,真菌污染,病毒污染以及非细胞污染,真菌污染来源,一般是来自实验服,并且具有气候性,多雨······
细胞聚团的原因分析及如何避免:培养物中细胞可能聚集的一些原因包括:1.过度消化、2.环境压力、3.组织分解、4.过度生长、5.污染等;如何避免聚团细胞的生成;首先确认当前细胞生长密度及状态,80%左右的生长密度即可进行······
细胞有空泡原因分析及解决方法:出现细胞空泡情况有1.细胞老化2.培养液错误配制;3.细胞消化时操作不当;4.污染等等,如细胞老化,解决方法,原代细胞使用较低代次进行实验,传代细胞避免传代次数过高···
细胞半换液和全换液操作步骤:第一种方式:细胞全换液;如果是贴壁细胞,可以用全量换液法,直接吸去全部旧培养基,补充足量新鲜完全培养基;第二种方式:细胞半换液;"细胞半换液"又称"细胞半量换液",即弃掉一半旧的培养基,再······
细胞生长缓慢的可能原因有哪些:细胞培养外部因素包括细胞培养基的配方和质量问题,培养条件不理想,污染问题,细胞自身因素包含细胞的健康状态,细胞密度过高或过低,细胞老化现象,细胞特性,当细胞生长出现缓慢的问题时,我······
常用胰腺癌细胞株动物模型及胰腺癌细胞株有哪些:胰腺癌研究中常用的动物模型主要包括化学物质诱导胰腺癌动物模型,基因工程胰腺癌小鼠模型和胰腺癌移植模型,常用的胰腺细胞株MIA-PACA-2人胰腺癌细胞,Capan-2人胰腺癌细······
产品规格:1*10^6
¥3000
产品规格:1*10^6
¥3000
产品规格:1*10^6
¥3000
产品规格:1*10^6
¥3000
上一篇:57 nm 光谱分离!高灵敏度mNG-p2/p7-NLuc报告基因,助力抗病毒药物研发
下一篇:中国乙肝肝癌专属模型!Hep-X1 细胞系建立,破解索拉非尼耐药难题