常见细胞污染类型如何辨别及预防解决方法
常见细胞污染类型如何辨别及预防解决方法:细胞培养中常见的生物污染类型有7种,分别是细菌污染,支原体污染,原虫污染,黑胶虫污染,真菌污染,病毒污染以及非细胞污染,真菌污染来源,一般是来自实验服,并且具有气候性,多雨······
发布时间:2025-11-14 09:05:48 细胞资源库平台 访问量:236
Reporter THP1 Cell Line 细胞系是以 THP1 为工具细胞,采用慢病毒感染的方式,构建稳定表达报告基因的细胞系,可用于检测信号通路转导。在被PMA、INF-α等刺激后,目标信号通路被激活,会启动下游特定基因的表达,这个表达过程会同时带动“报告基因”的表达。通过检测报告基因的信号强度,可以间接、定量、灵敏地衡量该信号通路的激活程度。
THP-1细胞本身来源于人单核细胞,可以分化为巨噬细胞样细胞,是研究先天免疫的经典模型。报告基因株的建立使其功能更强大。THP-1报告基因株是免疫学、炎症性疾病、药物研发等领域不可或缺的强大工具。它可以将一个复杂的、内在的生物学过程(信号通路激活/基因表达)转变为一个易于检测、可定量的物理信号(光或荧光)。这使得研究人员能够高通量地筛选药物,精确地量化免疫反应强度,直观地研究信号通路机制。
英文标题:Regulation of the NK-1 receptor gene expression in human macrophage cells via an NF-κB site on its promoter
中文标题:NK-1 受体基因在人巨噬细胞中的表达调控:通过其启动子上的 NF-κB 结合位点
发表期刊:《Proceedings of the National Academy of Sciences of the United States of America》
影响因子:9.1
作者单位:
Division of Gastroenterology, Beth Israel Deaconess Medical Center, Harvard Medical School, Boston, MA 02215, United States
作者信息:
Simos Simeonidis, Ignazio Castagliuolo, Amy Pan, Jennifer Liu, Chi-Chi Wang, Andreas Mykoniatis, Asia Pasha, Leyla Valenick, Stavros Sougioultzis, Dezheng Zhao, Charalabos Pothoulakis
神经激肽 1 受体(NK-1R)是 G 蛋白偶联受体,通过结合神经肽 P 物质(SP)调控痛觉、平滑肌收缩及炎症反应,在急慢性肠炎、肝炎等多种炎症中 NK-1R 表达显著升高,但调控机制未知。促炎细胞因子 IL-1β 可激活核因子 κB(NF-κB)通路 ——NF-κB 作为炎症核心转录因子,静息时与抑制剂 IκB 结合于细胞质,激活后 IκB 降解,NF-κB 入核结合靶基因启动子。此前研究发现人 NK-1R 启动子存在潜在 NF-κB 结合位点,但未验证其功能。本研究以人单核巨噬细胞系 THP-1 为模型,探究 IL-1β 是否通过 NF-κB 调控 NK-1R 基因表达,验证该 NF-κB 位点的功能性,为炎症中 NK-1R 升高提供分子机制。
细胞培养与处理:
人单核细胞系 THP-1 用含 10% FBS、50μM 2 - 巯基乙醇的 RPMI-1640 培养基悬浮培养,用重组人 IL-1β(25ng/mL)或 TNFα(25ng/mL)刺激,设未刺激组为对照。
NK-1R 检测技术:
免疫组化:细胞固定后用 NK-1R 特异性抗体(针对 C 端 15 个氨基酸)孵育,FITC 标记二抗,共聚焦显微镜观察;
Western blot:细胞裂解后免疫沉淀 NK-1R,SDS-PAGE 分离并转膜,ECL 显色,密度定量;
RT-PCR:提取总 RNA,逆转录后用 NK-1R 特异性引物(5'-GACTCCTCTGACCGCTACCA-3' 和 5'-GGATTTCATTTCCAGCCCCT-3')扩增,β-actin 为内参。
启动子克隆与报告基因实验:
PCR 扩增人 NK-1R 启动子 1837bp 片段(-1279 至 + 558 位核苷酸),克隆至 pGL3-Basic 荧光素酶载体;
DEAE 法转染 THP-1 细胞,单独转染启动子报告质粒,或与 NF-κB p65 cDNA、IκBα cDNA 共转染,48-72h 后检测荧光素酶活性。
核提取物制备与 EMSA:
核提取物从 4×10⁶个 THP-1 细胞中提取,用含 NK-1R 启动子 NF-κB 位点的 ³²P 标记寡核苷酸(5'-GTGGGGGTGTTTCCTAAAA-3')为探针,孵育后非变性聚丙烯酰胺凝胶电泳,显影分析;加入 100 倍过量未标记探针验证结合特异性。

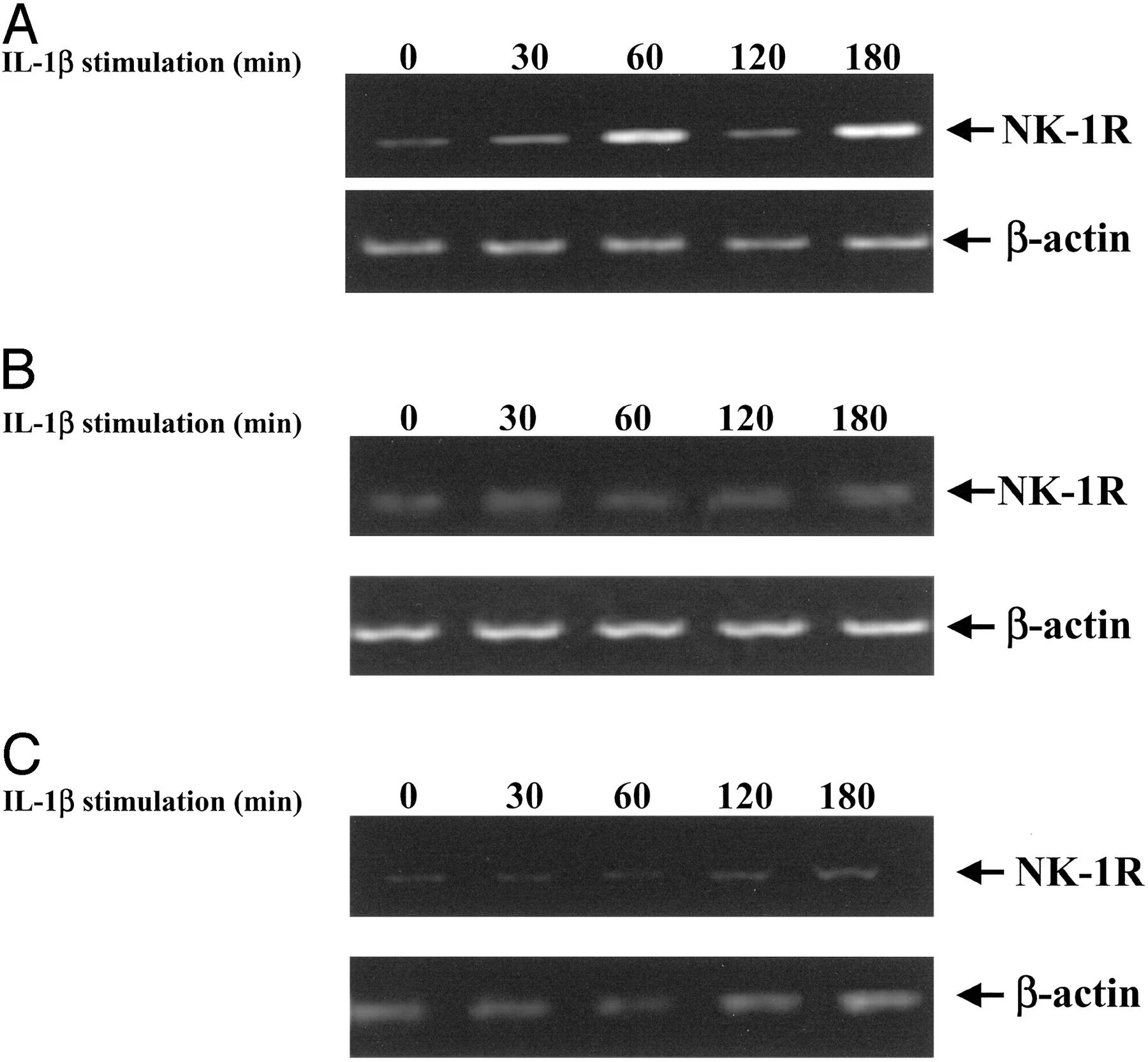
图1:IL-1β 诱导 THP-1 细胞 NK-1R 蛋白表达
图 1 验证 IL-1β 对 NK-1R 蛋白的调控:
① 免疫组化显示,未刺激 THP-1 细胞 NK-1R 表达低,IL-1β 刺激后细胞表面 NK-1R 显著升高(图 1A,放大 400 倍);
② Western blot 显示,IL-1β 刺激 1h 后 NK-1R 蛋白增加 2 倍,且该升高持续至 3h(图 1B),TNFα 刺激获类似结果(未展示),证实 IL-1β 可上调 NK-1R 蛋白。

图2:IL-1β 诱导 NK-1R mRNA 表达且依赖 NF-κB 通路
图 2 探究 IL-1β 对 NK-1R 转录的影响及 NF-κB 的作用:① RT-PCR 显示,IL-1β 刺激 1h 后 NK-1R mRNA 增加 2 倍,持续 3h,β-actin 无变化(图 2A);② 转染 IκBα cDNA(NF-κB 抑制剂)后,IL-1β 诱导的 NK-1R mRNA 升高被完全阻断(图 2B);③ 用蛋白酶体抑制剂 MG132(抑制 IκB 降解,阻断 NF-κB 激活)预处理 1h,同样抑制 IL-1β 对 NK-1R mRNA 的诱导(图 2C),证实 IL-1β 通过 NF-κB 调控 NK-1R 转录。

图3:NK-1R 启动子的 NF-κB 结合位点具有功能性
图 3 验证 NK-1R 启动子 NF-κB 位点的序列与结合能力:
① 序列比对显示,NK-1R 启动子潜在 NF-κB 位点(5'-GGGTGTTTCC-3')与 NF-κB 共识序列(5'-GGGACTTTCC-3')及 HIV、IFN-β 的 NF-κB 位点高度相似(图 3A);
② EMSA 显示,重组 NF-κB p65 蛋白可与该位点探针结合(图 3B, lane2),且随重组 IκBα 浓度增加,p65-DNA 复合物逐渐解离(图 3B, lanes3-5);
③ THP-1 细胞转染 p65 cDNA 后,核提取物中 p65 与探针结合增强(图 3B, lane7),共转染 IκBα cDNA 后结合显著减弱(图 3B, lane8),证实该位点可特异性结合 NF-κB。

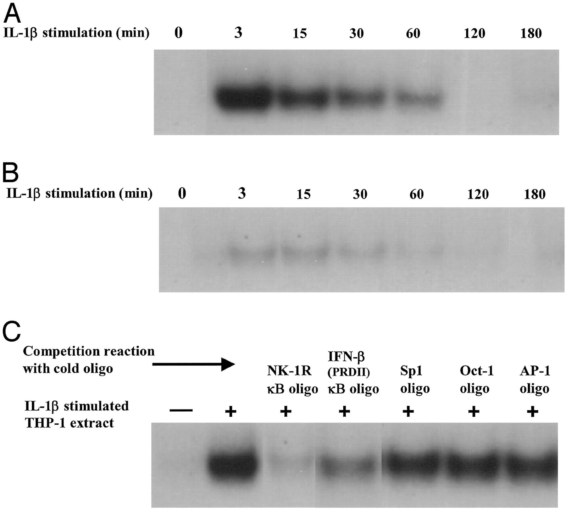
图4:IL-1β 刺激增强 NF-κB 与 NK-1R 启动子的结合
图 4 进一步验证 IL-1β 对 NF-κB 结合的激活作用:
① IL-1β 刺激 THP-1 细胞 3min 后,核提取物中 NF-κB 与探针结合开始增强,15-30min 达峰值,持续 3h(图 4A);
② 转染 IκBα cDNA 后,IL-1β 诱导的 NF-κB-DNA 结合被阻断(图 4B);
③ 特异性竞争实验显示,加入过量未标记 NK-1R NF-κB 探针或 IFN-β 的 NF-κB 探针(PRDII 位点)可完全抑制结合,而 Sp1、Oct-1、AP-1 探针无影响(图 4C),证实结合的 NF-κB 特异性。

图 5:IL-1β 和 TNFα 通过 NF-κB 激活 NK-1R 启动子
图 5 用报告基因验证启动子活性:
① 转染 NK-1R 启动子 - 荧光素酶载体的 THP-1 细胞,经 IL-1β 或 TNFα 刺激后,荧光素酶活性显著升高;
② 共转染 IκBα cDNA 后,IL-1β 和 TNFα 诱导的荧光素酶活性被大幅抑制(图 5),表明 IL-1β/TNFα 通过 NF-κB 激活 NK-1R 启动子转录。

图 6:过表达 NF-κB p65 激活 NK-1R 启动子
图 6 直接验证 NF-κB 对启动子的调控:
① THP-1 细胞共转染启动子报告质粒与 p65 cDNA,荧光素酶活性显著升高;
② 共转染 p65 与 IκBα cDNA 后,活性降至对照水平(图 6),证实 NF-κB p65 可直接激活 NK-1R 启动子,IκBα 可拮抗该效应。
本研究证实:
① 人单核巨噬细胞 THP-1 表达 NK-1R,促炎细胞因子 IL-1β 和 TNFα 可时间依赖性上调 NK-1R 的 mRNA 和蛋白水平;
② IL-1β 的调控依赖 NF-κB 通路 —— 抑制 IκBα 降解(MG132)或过表达 IκBα 均可阻断 NK-1R 升高;
③ 人 NK-1R 启动子上的潜在 NF-κB 位点为功能性位点,可特异性结合 NF-κB p65 亚基,IL-1β 通过激活 NF-κB 使其入核结合该位点,激活 NK-1R 转录;
④ 该机制解释了炎症中 NK-1R 表达升高的原因,为靶向 NF-κB-NK-1R 轴治疗炎症疾病提供理论基础。
常见细胞污染类型如何辨别及预防解决方法:细胞培养中常见的生物污染类型有7种,分别是细菌污染,支原体污染,原虫污染,黑胶虫污染,真菌污染,病毒污染以及非细胞污染,真菌污染来源,一般是来自实验服,并且具有气候性,多雨······
细胞聚团的原因分析及如何避免:培养物中细胞可能聚集的一些原因包括:1.过度消化、2.环境压力、3.组织分解、4.过度生长、5.污染等;如何避免聚团细胞的生成;首先确认当前细胞生长密度及状态,80%左右的生长密度即可进行······
细胞有空泡原因分析及解决方法:出现细胞空泡情况有1.细胞老化2.培养液错误配制;3.细胞消化时操作不当;4.污染等等,如细胞老化,解决方法,原代细胞使用较低代次进行实验,传代细胞避免传代次数过高···
细胞半换液和全换液操作步骤:第一种方式:细胞全换液;如果是贴壁细胞,可以用全量换液法,直接吸去全部旧培养基,补充足量新鲜完全培养基;第二种方式:细胞半换液;"细胞半换液"又称"细胞半量换液",即弃掉一半旧的培养基,再······
细胞生长缓慢的可能原因有哪些:细胞培养外部因素包括细胞培养基的配方和质量问题,培养条件不理想,污染问题,细胞自身因素包含细胞的健康状态,细胞密度过高或过低,细胞老化现象,细胞特性,当细胞生长出现缓慢的问题时,我······
常用胰腺癌细胞株动物模型及胰腺癌细胞株有哪些:胰腺癌研究中常用的动物模型主要包括化学物质诱导胰腺癌动物模型,基因工程胰腺癌小鼠模型和胰腺癌移植模型,常用的胰腺细胞株MIA-PACA-2人胰腺癌细胞,Capan-2人胰腺癌细······
产品规格:1*10^6
¥3000
产品规格:1*10^6
¥3000
产品规格:1*10^6
¥3000
产品规格:1*10^6
¥3000
上一篇:奥沙利铂/ATR抑制剂和抗PD-1抗体联合治疗可有效控制结肠癌生长
下一篇:栀子苷致肝损伤真相:抑制 FXR 打乱胆汁酸,还激活炎性小体!