常见细胞污染类型如何辨别及预防解决方法
常见细胞污染类型如何辨别及预防解决方法:细胞培养中常见的生物污染类型有7种,分别是细菌污染,支原体污染,原虫污染,黑胶虫污染,真菌污染,病毒污染以及非细胞污染,真菌污染来源,一般是来自实验服,并且具有气候性,多雨······
发布时间:2025-10-14 17:20:19 细胞资源库平台 访问量:145
局部晚期甲状腺癌(LATC)因常侵犯周围重要组织,手术切除难度大,预后差。传统治疗效果有限,而新辅助治疗可使部分不可切除肿瘤转化为可切除,但缺乏精准的治疗策略选择方法。患者衍生类器官(PDO)技术能够在体外模拟肿瘤的病理生理特征,为个性化药物筛选提供了新的可能,但在甲状腺癌中的临床应用尚待验证。
2025年4月30日,华西医院李志辉团队发表在Endocrine上题为Precision treatment guided by patient-derived organoids-based drug testing for locally advanced thyroid cancer: a single arm, phase 2 study的研究为一项单臂、II 期临床试验,旨在探索基于患者衍生类器官药物测试指导的局部晚期甲状腺癌精准治疗的可行性和疗效。研究共纳入 75 例 LATC 患者,通过超声引导下穿刺活检获取肿瘤组织,建立 PDO 模型进行药物敏感性测试,根据测试结果选择相对活性最高的药物进行治疗。结果显示,55 例接受治疗的患者中,客观缓解率(ORR)为 32.7%,R0/R1 切除率为 34.5%。
1,研究设计与患者入组流程。共纳入75名局部晚期甲状腺癌(LATC)患者,所有患者均成功获取活检样本并培养出患者衍生类器官(PDOs)。66名患者完成药物敏感性测试,60名患者在入组后中位10天内获得药物推荐,最终55名患者接受了至少一次靶向治疗。图1清晰呈现了从患者入组到治疗实施的全过程,体现了研究的高效性和严谨性。

图1展示了本研究从2022年1月26日至2024年1月15日的完整流程。
2,靶病灶直径变化与疗效评估。结果显示,多数患者肿瘤直径减小,表明类器官指导的靶向治疗具有良好的抗肿瘤活性。18名患者达到部分缓解(PR),无完全缓解(CR),总体客观缓解率(ORR)为32.7%(95% CI: 20.7-46.7)。不同组织学亚型的ORR分别为:分化型甲状腺癌(DTC)32.6%、髓样甲状腺癌(MTC)16.7%和未分化甲状腺癌(ATC)50%。这表明类器官药物测试能有效预测治疗反应,为个性化治疗提供支持。

图2呈现了55名接受治疗的LATC患者靶病灶直径的变化及疗效评估。
3,生存结局分析。结果显示,中位PFS和中位OS均未达到,表明多数患者在随访期内保持疾病控制状态。仅5名患者出现疾病进展(PD),9名患者死亡。这表明类器官指导的靶向治疗能有效延缓疾病进展并延长生存时间,为LATC患者带来显著生存获益。

图3通过Kaplan-Meier曲线展示了55名接受类器官指导靶向治疗的LATC患者的无进展生存期(PFS)和总生存期(OS)。
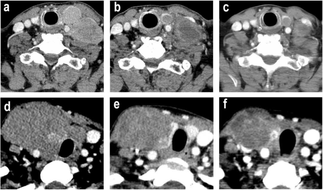
4,典型病例的治疗效果展示。病例A为一名67岁男性,诊断为乳头状甲状腺癌(PTC),类器官药物测试显示对Anlotinib高度敏感。治疗后肿瘤显著缩小,最终成功进行了R1切除手术。病例B为一名53岁女性,诊断为未分化甲状腺癌(ATC),类器官药物测试显示对Lenvatinib敏感。治疗后肿瘤虽仍为稳定状态,但侵犯范围减轻,最终成功进行了R1切除手术。两位患者术后15个月随访均无肿瘤复发,展示了类器官药物测试在个性化治疗中的巨大潜力。

图4展示了两个典型病例的治疗效果。
本研究是目前甲状腺癌领域样本量最大的类器官应用研究,首次前瞻性地验证了患者衍生类器官(PDOs)和体外药物敏感性测试在局部晚期甲状腺癌(LATC)个性化治疗中的可行性和有效性。研究纳入了多种既往治疗经历的LATC患者,不受基因突变状态限制,预测药物敏感性,为精准治疗提供新思路。结果显示,34.5%的患者通过类器官指导的治疗获得了R0/R1切除机会,客观缓解率达32.7%。尽管存在单臂设计和部分亚组样本量小的局限性,但研究为LATC患者带来新希望,为甲状腺癌精准治疗开辟了新途径。未来需更大规模和随机对照试验进一步验证其临床价值。
常见细胞污染类型如何辨别及预防解决方法:细胞培养中常见的生物污染类型有7种,分别是细菌污染,支原体污染,原虫污染,黑胶虫污染,真菌污染,病毒污染以及非细胞污染,真菌污染来源,一般是来自实验服,并且具有气候性,多雨······
细胞聚团的原因分析及如何避免:培养物中细胞可能聚集的一些原因包括:1.过度消化、2.环境压力、3.组织分解、4.过度生长、5.污染等;如何避免聚团细胞的生成;首先确认当前细胞生长密度及状态,80%左右的生长密度即可进行······
细胞有空泡原因分析及解决方法:出现细胞空泡情况有1.细胞老化2.培养液错误配制;3.细胞消化时操作不当;4.污染等等,如细胞老化,解决方法,原代细胞使用较低代次进行实验,传代细胞避免传代次数过高···
细胞半换液和全换液操作步骤:第一种方式:细胞全换液;如果是贴壁细胞,可以用全量换液法,直接吸去全部旧培养基,补充足量新鲜完全培养基;第二种方式:细胞半换液;"细胞半换液"又称"细胞半量换液",即弃掉一半旧的培养基,再······
细胞生长缓慢的可能原因有哪些:细胞培养外部因素包括细胞培养基的配方和质量问题,培养条件不理想,污染问题,细胞自身因素包含细胞的健康状态,细胞密度过高或过低,细胞老化现象,细胞特性,当细胞生长出现缓慢的问题时,我······
常用胰腺癌细胞株动物模型及胰腺癌细胞株有哪些:胰腺癌研究中常用的动物模型主要包括化学物质诱导胰腺癌动物模型,基因工程胰腺癌小鼠模型和胰腺癌移植模型,常用的胰腺细胞株MIA-PACA-2人胰腺癌细胞,Capan-2人胰腺癌细······
产品规格:1*10^6
¥3000
产品规格:1*10^6
¥3000
产品规格:1*10^6
¥3000
产品规格:1*10^6
¥3000
上一篇:破解 NSCLC 转移!TGF-β-miR-520e 负反馈轴成关键
下一篇:乳腺癌细胞系与类器官模型揭示肿瘤异质性及药物反应多样性