细胞株购买:15859239971 厦门爱恪信生物细胞株引进ATCC,DSMZ,JCRB,ECACC,CCTCC,昆明细胞库等保藏中心,正规来源,细胞准确

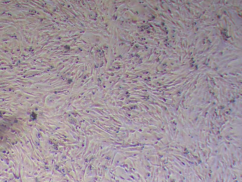
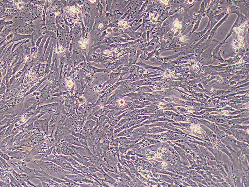
小鼠滑膜成纤维细胞(免疫荧光鉴定报告)

货号:IMP-M083       组织:关节

规格:5x105cells/T25或1mL冻存管

形态:成纤维细胞样,贴壁生长     培养基:小鼠滑膜成纤维细胞专用培养基

培养环境:气相:95%空气+5%二氧化碳;温度:37℃

传代特性:1:2至1:3,每周 2-3次

产品货期:2-3周左右

小鼠滑膜成纤维细胞

价格:¥3630

配套相关培养产品

产品简介

滑膜是关节囊的内层,淡红色,平滑闪光,薄而柔润,由疏松结缔组织组成。关节腔内的所有结构,除关节软骨、半月软骨板以外,即便是通过关节腔的肌腱、韧带等均全部为滑膜所包裹。 滑膜分泌滑液,在关节活动中起重要作用。正常滑膜分为两层,即薄的细胞层(内腔层)和血管层(内膜下层),是血管丰富的关节囊内膜,贴附于非关节面部分,覆盖于关节囊内的骨面上,不在软骨面上,此部分称为边缘区或“裸区”。滑膜呈粉红色,光滑发亮、湿而润滑,有时可见绒毛,内含胶原性纤维。 滑膜细胞有A、B两型。巨噬细胞样A型细胞,表面有丝状伪足、浆膜内陷、囊泡、线粒体、溶酶体、胞浆纤维和高尔基体,具有吞噬功能;B型成纤维样滑膜细胞(FLS) ,有高浓度的内质网结构,是介导 RA 关节破坏的主要细胞。

  一、细胞基本属性
细胞名称原代小鼠滑膜成纤维细胞(免疫荧光鉴定报告)
种属来源
组织来源关节组织
生长特性贴壁生长
形态特征成纤维细胞样
质量检测波形蛋白(Vimentin)免疫荧光染色为阳性,纯度高于 90%,且不含有HIV-1、HBV、HCV、支原体、细菌、酵母和真菌等
产品规格5x105cells/T25或1mL冻存管
培养基小鼠滑膜成纤维细胞完全培养基
培养条件气相:95%空气+5%二氧化碳;温度:37℃
换液频率每2-3天换液一次
消化液0.25%胰蛋白酶
传代比例1:2-1:3(具体情况视细胞生长速度及密度决定)
消化时间2-3min(不同品牌胰酶消化时间不同,以实际为主)
换液周期2天
培养基体积T25瓶 8-10ml;6cm皿 5-8ml;10cm皿 12-15ml;T75瓶 24ml-30ml
特别说明以下细胞培养冻存处理仅供参考,具体操作步骤以随货产品说明书为主
  二、细胞培养操作
到货方式活细胞(常温运输)
收货处理1.收到小鼠滑膜成纤维细胞后,请检查发货培养瓶的状况,是否有破损、漏液、浑浊等现象。如果有,请立即和我们联系;如果没有,请您用75%酒精消毒细胞瓶外壁,再将其置于37度培养箱静置4h。
2.静置后观察细胞状态,在显微镜下确认细胞生长状态时,最好在低倍镜(4或5X物镜)下进行,能准确判断细胞的传代密度。看细胞的形态请在10X和20X物镜下,同时给刚收到的细胞拍照,(10×,20×)各2-3张以及培养瓶外观照片一张留存,作为细胞需要售后时提供收到细胞时细胞状态的依据。拍照反馈给我们。
传代密度细胞密度达80%-90%,即可进行传代培养
传代方法1.弃去培养上清,用不含钙、镁离子的PBS润洗细胞1-2次。
2.加1 mL消化液(0.25%Trypsin-0.02% EDTA)于培养瓶中,使消化液浸润所有细胞,弃去消化液,将培养瓶置于37℃培养箱中消化1 min,然后在显微镜下观察细胞消化情况,若细胞大部分变圆并脱落,迅速拿回操作台,轻敲几下培养瓶后加少量培养基终止消化。
3.按6-8 mL/瓶补加培养基,轻轻打匀后装入无菌离心管中,1000 rpm离心4 min,弃去上清液,补加1-2 mL培养液后吹匀。
4.将细胞悬液按1:2比例分到新的含8 mL培养基的新皿中或者瓶中,置于培养箱中培养。
到货方式冻存细胞(干冰运输)
收货处理1.干冰运输的小鼠滑膜成纤维细胞到货,请检查干冰是否完全挥发,细胞是否解冻,若有上述现象发生请及时和我们联系。
2.为保证细胞的高存活率,收到产品后,请立即解冻复苏细胞,如若不能复苏请立即转入液氮冻存。
培养皿/瓶一管细胞建议接种到6cm培养皿或者T25瓶
复苏操作1.将含有1 mL细胞悬液的冻存管在 37℃水浴中迅速摇晃解冻,加4 mL培养基混合均匀。
2.在1000 rpm条件下离心3 min,弃去上清液,加1-2 mL培养基后吹匀。
3.然后将所有细胞悬液加入含适量培养基的培养瓶中培养过夜(或将细胞悬液加入6 cm皿中,加入约4 mL培养基,培养过夜)。
4.第二天换液并检查细胞密度。
注意事项1.运输用的培养基(灌液培养基)不能再用来培养细胞,请换用按照说明书细胞培养条件新配制的完全培养基来培养细胞。
2.因运输问题,部分细胞由于温度变化及剧烈碰撞死亡破碎形成碎片,是正常现象。请及时和我们联系,告知细胞的具体情况,以便我们的技术人员跟踪回访直至问题解决。
3. 申请售后时请提供细胞收货时及反馈售后当天细胞清晰照片及培养信息,建议客户在细胞传代培养后,定期拍照、记录细胞生长状态。
4.所有动物细胞均视为有潜在的生物危害性,必须在二级生物安全台内操作,并请注意防护,所有废液及接触过此细胞的器皿需要灭菌后方能丢弃。
5. 细胞在不同实验室培养由于所使用培养基及血清品牌、个人操作习惯、培养瓶品牌等诸多培养条件不尽相同,导致细胞培养形态、生长速度、贴壁情况均可能有所差异,对于此类细胞适应环境生长的行为,不予过度解释或免费售后。
  三、细胞冻存操作
冻存液配方无血清冻存液,液氮储存
冻存密度如果是有要求每管要冻多少细胞,那就用1ml完培重悬后,取部分按平时方法计数,剩下的细胞按计数需要的细胞量冻存即可。
如果没要求,那就按平时,一个皿冻一管。
冻存方法待小鼠滑膜成纤维细胞生长状态良好时,可进行细胞冻存。下面 T25 瓶为例
1.收集细胞及细胞培养液,装入无菌离心管中,1000 rpm条件下离心4 min,弃去上清液,用PBS清洗一遍,弃尽PBS,加1 mL血清重悬细胞,进行细胞计数。
2.根据细胞数量加入无血清细胞冻存液,使细胞密度5x106~1x107/mL,轻轻混匀,每支冻存管冻存1mL细胞悬液,注意冻存管做好标识。
3.将冻存管放入-80℃冰箱,24 h后转入液氮灌储存。记录冻存管位置以便下次拿取。
注意事项冻存细胞转入液氮后及时复苏一管检查细胞冻存活性,若有异常,及时调整实验方案

原代细胞培养常见问题

如何判断原代细胞衰老了

1.形态学的观察,细胞突起变大、或细胞扁平;2.β半乳糖苷染色判断细胞是否衰老;3.增殖速率明显下降;4.对相关的标志物进行检测。

如何确保分离的原代细胞的活性

1.组织离体时间不能太久;2.低温冰上分离,但也不能直接从-80℃冰箱上取出一块冰;3.无菌操作体系;4.消化酶的浓度和消化时间的把控。

原代细胞可以无限的增殖

与细胞系不同,原代细胞具有有限的扩增能力。建议尽早使用原代细胞进行实验以防止遗传漂移。此外,如果你正在使用一个增值困难的细胞类型,你应该密切监测细胞形态,因为少量混杂的细胞(如成纤维细胞)可能随着时间的推移,大量生长从而成为主要细胞。

如何让原代细胞一直保持增殖能力

原代细胞传代有限,可以通过构建永生化细胞株使其获得无限增殖的能力,即转变为永生化细胞系。

原代细胞一般第几代做实验比较好

5代以内,3代最好。有些细胞比如特殊,如神经元、巨噬为终末分化细胞,增殖能力很弱,建议客户收到细胞请镜下观察细胞生长状态后直接用于后续实验,不建议传代进行扩增培养和冻存。

原代细胞可以冻存吗?冻存复苏后活率差的原因是什么?

这取决于细胞的类型。一些细胞类型像神经细胞,神经胶质细胞和一些生长缓慢的上皮细胞,不推荐扩增培养和再次冻存。其它的细胞类型像成纤维细胞、星形细胞、肾系膜细胞、星形胶质细胞等等,可以扩增培养和再次冻存。然而,需要注意的是再次冻存的过程可能导致细胞生长性能的改变。冻存后复苏活率低需要考虑冻存前细胞活性,细胞量以及冻存体系,冻存体系是指用的含血清的冻存液,还是一步冻存液,不同冻存方法对应的操作方法不同需要注意。

通常我们不推荐重新冻存原代细胞,因为这可以促进细胞衰老和/或导致功能变化。原代细胞非常敏感,重新冻结可能导致细胞死亡或损伤。

贴壁的原代细胞很难消化是怎么回事

细胞初代培养时在细胞皿上培养的时间过长,解决方法可以将酶的浓度降低,37℃培养箱中延长消化时间,或者分步消化。

原代上皮细胞传代之后形态发生变化

上皮细胞,传代容易变形,上皮细胞传代后,不容易再次贴壁,这个时候可以使用代膜的培养瓶或者瓶子包被一下(基质胶,鼠尾胶原,多聚赖氨酸等)都可以,上皮细胞,传代非常有限, 且生长比较慢,一般建议尽快实验,不适合长时间去大量扩增培养。

因原代细胞体外传代有限,传代次数皆为大部分人使用后的平均数据,受操作手法,培养环境,培养条件等因素综合影响,建议收到后,尽快完成实验,不建议反复冻存一直传代扩增。

提取原代细胞经常发生污染可以怎样改善

首先要确保细胞分离实验室是否存在细菌污染,如果存在问题,需要将实验室进行消毒,培养箱灭菌,检查试剂耗材是否可用,第二个就是注意无菌操作,保证试剂、剪刀镊子等无菌,第三是可以在培养液中加抗生素,双抗、两性霉素等。

原代细胞售后规定

1.细胞运输途中遭遇的各种问题,细胞丢失、瓶身破损、培养液严重漏液,细胞未开封,如出现污染状况等,重发

2.客户操作造成细胞污染,细胞状态不好,非我司推荐细胞培养体系,未提供真实清晰的培养前3天的细胞状态照片,不重发

3.原代细胞不建议客户自行冻存,收货后及时传代并安排实验,超出代数的细胞可能出现突变、状态变差等现象导致细胞无法进一步传代或者进行实验,对于自行冻存的细胞一律不予免费售后

细胞百科知识

X小鼠滑膜成纤维细胞(免疫荧光鉴定报告)-小鼠原代细胞-ATCC细胞库_原代动物细胞购买-细胞资源库平台

截屏,微信识别二维码

微信号:15859239971

(点击微信号复制,添加好友)

  打开微信

微信号已复制,请打开微信添加咨询详情!
在线客服
联系方式

公司电话

15859239971

微信二维码
线