常见细胞污染类型如何辨别及预防解决方法
常见细胞污染类型如何辨别及预防解决方法:细胞培养中常见的生物污染类型有7种,分别是细菌污染,支原体污染,原虫污染,黑胶虫污染,真菌污染,病毒污染以及非细胞污染,真菌污染来源,一般是来自实验服,并且具有气候性,多雨······
发布时间:2025-07-31 09:07:51 细胞资源库平台 访问量:230
乙肝病毒(HBV)感染是全球主要公共卫生问题之一,有超过2.5亿人慢性感染HBV。而其中有超三分之一的人口集中在我国,人数接近1亿人。NTCP工具细胞,特别是外源表达NTCP的肝癌细胞系如HepG2-NTCP和Huh7-NTCP,因其易操作、短周期、重现性佳的特点,在乙肝病毒(HBV)研究中扮演着至关重要的角色。这些细胞模型能够有效模拟HBV的感染过程,为研究HBV的生命周期、宿主限制因子、病毒复制以及药物筛选提供了一个强大而便捷的体外平台。它们不仅有助于揭示HBV感染的分子机制,如DDX3作为宿主限制因子阻碍cccDNA转录,GPC5作为附着因子在感染入胞过程中的作用,还能通过直接与NTCP相互作用或下调NTCP表达来筛选和验证抗病毒药物的活性,例如环孢菌素A及其衍生物、雷帕霉素及其衍生物等。此外,这些工具细胞还促进了对HBV宿主特异性分子的发现,为发展支持HBV感染的小动物模型提供了可能,这对于乙肝相关研究和药物开发具有重大意义。
英文标题:NTCP-Based Prediction of Lung Sparing With IMPT in BC Patients and Implication of Patient
中文标题:基于 NTCP 模型预测乳腺癌患者质子治疗的肺保护效应及患者选择意义
发表期刊:《International Journal of Particle Therapy》
影响因子:2
作者单位:
1 Department of Radiation Oncology, Ruijin Hospital, Shanghai Jiao Tong University, School of Medicine, Shanghai, China
2 Shanghai Key Laboratory of Proton-therapy, Shanghai, China
作者信息:
Xiao-Yu Wu, Mei Chen, Gang Cai, Rong Cai
质子治疗(PT)虽能减少乳腺癌放疗中的正常组织损伤,但因资源有限需优化患者选择。放射性肺损伤(RILI)是乳腺癌放疗的重要并发症,目前缺乏基于正常组织并发症概率(NTCP)模型对比质子与光子治疗的研究。本研究构建结合剂量修正因子(DMFs)的 Lyman-Kutcher-Burman(LKB)NTCP 模型,预测 RILI 风险,分析胸部解剖特征与质子治疗肺保护效应(ΔNTCP)的相关性,为质子治疗患者选择提供依据。
纳入 409 例接受光子调强放疗(IMRT)的乳腺癌患者,按 8:2 分为训练集和测试集,以 1 年内≥1 级 RILI 为终点,通过 LASSO 回归和 logistic 回归筛选独立风险因素作为 DMFs,采用最大似然估计确定 LKB 模型参数(TD50、n、m),并通过 AUC、Brier 评分等验证模型性能;为 80 例患者生成调强质子治疗(IMPT)计划,计算质子与光子计划的 ΔNTCP(光子 NTCP 减去质子 NTCP),在 CT 上量化 6 项胸部解剖特征(如胸骨角平面弧高与基底比 AHBR),通过 Pearson/Spearman 相关及线性回归分析其与 ΔNTCP 的相关性。

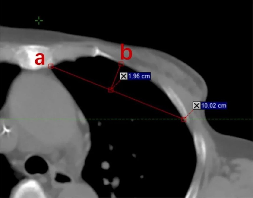
图1:弧高与基底比(AHBR)的测量示意图
展示胸骨角平面骨性胸廓弧的基底长度(a)和弧高(b),AHBR 定义为弧高与基底长度的比值,用于量化胸廓凸度。该参数是后续分析中与质子治疗肺保护效应相关的关键解剖特征。

图2:基于最优参数的 NTCP-EUD 曲线
显示不同风险因素组合(有无 BMI≥23.52 kg/m² 和 ICR≤20 天)下,等效均匀剂量(EUD)与 RILI 的 NTCP 关系,模型参数为 n=0.40、m=0.22、TD50=24.66 Gy,DMF-BMI=0.88、DMF-ICR=0.92。结果表明,相同 EUD 下,存在风险因素的患者 NTCP 更高,验证了风险因素的影响。

图3:胸骨角平面质子与光子计划的 50% 等剂量线对比
直肠剂量升高,IM-2D 组仅直肠剂量增加; D. 宫底穿孔时,IM-3D 和 IM-2D
BMI≥23.52 kg/m² 和化疗结束至放疗间隔(ICR)≤20 天是≥1 级 RILI 的独立风险因素,构建的 LKB-NTCP 模型性能良好(训练集 AUC=0.754,测试集 AUC=0.733);80 例患者中,质子计划的平均 NTCP 显著低于光子计划,ΔNTCP 均值为 57.45%,且胸骨角平面 AHBR 与 ΔNTCP 呈显著正相关(回归系数 56.56,P=0.049),提示该解剖特征可用于筛选从质子治疗中获得更多肺保护效应的乳腺癌患者。
常见细胞污染类型如何辨别及预防解决方法:细胞培养中常见的生物污染类型有7种,分别是细菌污染,支原体污染,原虫污染,黑胶虫污染,真菌污染,病毒污染以及非细胞污染,真菌污染来源,一般是来自实验服,并且具有气候性,多雨······
细胞聚团的原因分析及如何避免:培养物中细胞可能聚集的一些原因包括:1.过度消化、2.环境压力、3.组织分解、4.过度生长、5.污染等;如何避免聚团细胞的生成;首先确认当前细胞生长密度及状态,80%左右的生长密度即可进行······
细胞有空泡原因分析及解决方法:出现细胞空泡情况有1.细胞老化2.培养液错误配制;3.细胞消化时操作不当;4.污染等等,如细胞老化,解决方法,原代细胞使用较低代次进行实验,传代细胞避免传代次数过高···
细胞半换液和全换液操作步骤:第一种方式:细胞全换液;如果是贴壁细胞,可以用全量换液法,直接吸去全部旧培养基,补充足量新鲜完全培养基;第二种方式:细胞半换液;"细胞半换液"又称"细胞半量换液",即弃掉一半旧的培养基,再······
细胞生长缓慢的可能原因有哪些:细胞培养外部因素包括细胞培养基的配方和质量问题,培养条件不理想,污染问题,细胞自身因素包含细胞的健康状态,细胞密度过高或过低,细胞老化现象,细胞特性,当细胞生长出现缓慢的问题时,我······
常用胰腺癌细胞株动物模型及胰腺癌细胞株有哪些:胰腺癌研究中常用的动物模型主要包括化学物质诱导胰腺癌动物模型,基因工程胰腺癌小鼠模型和胰腺癌移植模型,常用的胰腺细胞株MIA-PACA-2人胰腺癌细胞,Capan-2人胰腺癌细······
产品规格:1*10^6
¥3000
产品规格:1*10^6
¥3000
产品规格:1*10^6
¥3000
产品规格:1*10^6
¥3000
上一篇:基于头颈癌类器官生成肿瘤特异性T细胞用于过继性细胞治疗
下一篇:细胞周期同步化让软骨再生效率提升 30%!科学家找到组织工程关键开关