细胞株购买:15859239971 厦门爱恪信生物细胞株引进ATCC,DSMZ,JCRB,ECACC,CCTCC,昆明细胞库等保藏中心,正规来源,细胞准确

蜕膜化诱导培养基

货号:IMC-340

货期:现货

价格:
 ¥2680

规格:

产品保证: 细胞培养基 经过长期大量测试,产品可保持细胞最佳生长状态

产品描述

产品简介

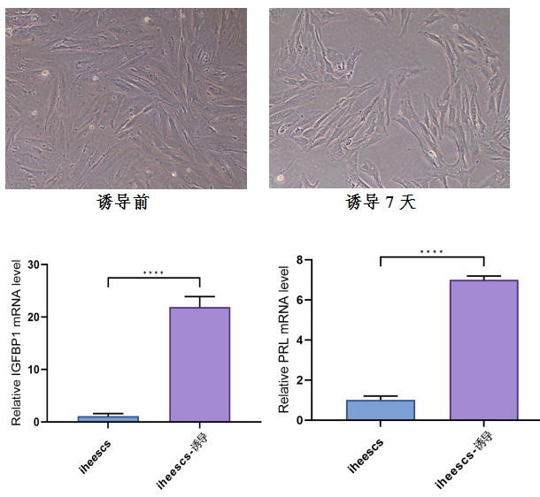
蜕膜化诱导培养基(Decidualization Induction Medium)是一种专用于体外诱导子宫内膜间质细胞(ESCs)向蜕膜细胞分化的功能性培养基,通过模拟妊娠早期激素环境激活蜕膜化相关信号通路(如PKA、PR通路),同时提供生长因子和优化营养成分,支持细胞形态改变(体积增大、多角形排列)及分子标志物(如PRL、IGFBP1)的表达。该培养基广泛应用于胚胎着床机制研究、妊娠相关疾病模型构建(如反复流产)及药物筛选,使用时需将细胞在含诱导因子的培养基中培养5-7天,并通过形态学与分子检测评估分化效率。

一、产品说明
产品名称蜕膜化诱导培养基
货号IMC-340
产品形态液体
PH 7.2-7.4
货期现货
培养基成分蜕膜化诱导培养基
iheESCs蜕膜化诱导

微信截图_20250929112916.png

细菌检测阴性
真菌检测阴性
支原体检测阴性
细胞生长实验细胞生长良好,形态正常
内毒素含量(EU/mL)≤10
储存条件-20℃,避光储存
运输条件冰袋冷藏运输
有效期3个月
免责声明本公司将不为任何不正常使用此产品时所发生的意外负责

操作步骤

将需要蜕膜化的细胞置于培养皿中,使用无酚红的完培培养24h,以消耗内源性的雌激素。后续更换成蜕膜化诱导培养基刺激5-7天,通过显微镜观察并捕获处理后的细胞,然后裂解以收获RNA。

注意事项

1.本产品为完全培养基,恢复室温直接用于细胞培养。

2.使用产品时应注意无菌操作,避免污染。

3.本产品含有血清和双抗,如无特别需要不用额外再添加血清和双抗,可以直接使用。

4.为保持本产品的最佳使用效果,不宜将其长时间放置于室温或较高的温度环境中。

5.所有产品请于保质期内使用,超出保质期,必须放弃使用。

6.本产品仅能用于科研。

7.本产品仅能用于科研本产品未通过直接用于活体动物和人的审核

本产品未通过用于活体诊断的审核。


最新细胞产品推荐

热销细胞培养体系推荐

X蜕膜化诱导培养基-完全培养基-ATCC细胞库_原代动物细胞购买-细胞资源库平台

截屏,微信识别二维码

微信号:15859239971

(点击微信号复制,添加好友)

  打开微信

微信号已复制,请打开微信添加咨询详情!
在线客服
联系方式

公司电话

15859239971

微信二维码
线